Fettembolie

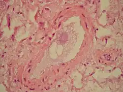
Fettembolie mit histologischem Nachweis von Fettgewebe im Lumen eines pulmonalen Blutgefäßes
Klassifikation nach ICD-10
T79 Bestimmte Frühkomplikationen eines Traumas, anderenorts nicht klassifiziert
T79.1 Fettembolie (traumatisch)
O88 Embolie während der Gestationsperiode
O88.2 Embolie nach Abort, Extrauteringravidität und Molenschwangerschaft
O88.8 Sonstige Embolie während der Gestationsperiode
– Fettembolie während der Gestationsperiode
{{{06-BEZEICHNUNG}}}
{{{07-BEZEICHNUNG}}}
{{{08-BEZEICHNUNG}}}
{{{09-BEZEICHNUNG}}}
{{{10-BEZEICHNUNG}}}
{{{11-BEZEICHNUNG}}}
{{{12-BEZEICHNUNG}}}
{{{13-BEZEICHNUNG}}}
{{{14-BEZEICHNUNG}}}
{{{15-BEZEICHNUNG}}}
{{{16-BEZEICHNUNG}}}
{{{17-BEZEICHNUNG}}}
{{{18-BEZEICHNUNG}}}
{{{19-BEZEICHNUNG}}}
{{{20-BEZEICHNUNG}}}
Vorlage:Infobox ICD/Wartung {{{21BEZEICHNUNG}}}
ICD-10 online (WHO-Version 2019)
Vorlage:Infobox ICD/Wartung/Para 05
Klassifikation nach ICD-11
JB42.Y Sonstige näher bezeichnete Embolie während der Gestationsperiode
NF0A.1 Fettembolie, traumatisch, anderenorts nicht klassifiziert
ICD-11: EnglischDeutsch (Entwurf)

Eine Fettembolie ist eine Embolie durch in der Blutbahn auftretende Fetttröpfchen. Diese treten entweder als freigesetzte Gewebsfette und/oder als ausgefällte Plasmafette auf, zum Beispiel nach einem Knochenbruch mit Knochenmarksbeteiligung, während großer orthopädischer Eingriffe wie Implantation von Endoprothesen an großen Gelenken, Amputation, Weichteilquetschung, Verbrennung, Starkstromverletzung oder Injektion ölhaltiger Präparate in die Blutbahn.

Krankheitsbild

Das klinische Bild entspricht dem einer akuten Lungenembolie mit Ateminsuffizienz, Rechtsherzinsuffizienz und Herzrhythmusstörungen bis hin zum akuten Herz-Kreislauf-Stillstand, die Sekunden bis Minuten nach dem schädigenden Ereignis auftreten können. Verzögert (innerhalb 36–72h) kann es zu punktförmigen Hauteinblutungen (Petechien), Gerinnungsstörungen bis hin zur Verbrauchskoagulopathie und Bewusstseinsstörungen durch zerebrale Mikroinfarzierung kommen. Dieses Krankheitsbild wird als Fettemboliesyndrom bezeichnet.

Pathogenese

Als Ursache der akuten Fettembolie wird vor allem eine Druckerhöhung im Markraum mit Übertreten von Fett- und Knochenmarkszellen in die Blutbahn angenommen. Dies führt zu einer Mikroembolisierung der kleinen Lungengefäße mit Druckerhöhung im Lungenkreislauf. Als Ursache des Fettemboliesyndroms wird der Abbau der in den Lungenkapillaren festgesetzten Fettpartikel zu toxischen Fettsäuren angenommen. Diese Pathomechanismen konnten tierexperimentell bestätigt werden.

Therapie

Die Therapie besteht zunächst aus großzügiger Sauerstoffzufuhr und vorsichtigem Volumenersatz unter Kontrolle des pulmonar-arteriellen Drucks (Rechtsherzkatheter), Katecholaminen und gegebenenfalls Reanimation. Es schließt sich die übliche intensivmedizinische Therapie an.

Das Fettemboliesyndrom wird im Wesentlichen symptomatisch (Korrektur der Gerinnungsstörung, Flüssigkeitausgleich und Sicherung der Nierenfunktion) behandelt.

Fettembolie als Komplikation orthopädischer/unfallchirurgischer Operationen

Selten, aber im Vergleich zu allen anderen Ursachen häufig, kommen Fettembolien im Rahmen unfallchirurgischer und orthopädischer Operationen vor. Insbesondere betrifft dies die Marknagelungen, die Implantation von Endoprothesen des Hüft- oder Kniegelenkes sowie die Vertebroplastie. Der kritische Punkt ist hier das Eintreiben des Marknagels oder der Prothesenschaft-Komponente in den Markraum des Femurs (Oberschenkelknochens). Als wesentliche Ursache wird der erhöhte Druck auf das Knochenmark angenommen, hinzu kommt die Erhitzung in der Abbindephase des Knochenzements sowie eventuell ein Übertreten von Inhaltsstoffen des Knochenzements (Methacrylsäuremethylester) in die Blutbahn.

Die Häufigkeit (Inzidenz) von Fettembolien bei Implantation von Hüftendoprothesen wird mit 0,6 %–10 % angegeben, der tödliche Ausgang (Letalität) mit 0,2 %–0,6 %.

Zur Prophylaxe der Fettembolie wurde eine ganze Reihe unterschiedlicher Maßnahmen vorgeschlagen (Auswaschen des Markraums, Entlastungsbohrung, Vakuumzementierung, Blutsperrung und andere). Durchgesetzt hat sich bislang, mangels Evidenz, keine dieser Maßnahmen.

Literatur

  • N. Aebli, R. Pitto, J. Krebs: Fettembolie – eine potentiell tödliche Komplikation während orthopädischen Eingriffen. In: Schweiz Med Forum, 2005, 5, S. 512–518. medicalforum.ch (PDF)