Extraktion (Zahnmedizin)

Extraktionszange für Unterkieferprämolaren

Als Extraktion (von lateinisch extrahere „herausziehen“), Exodontie oder Zahnextraktion wird in der Zahnmedizin die Entfernung eines Zahnes ohne operativen Eingriff bezeichnet. Ist zur Zahnentfernung eine Schnittführung und gegebenenfalls die Bildung eines Schleimhautperiostlappens erforderlich, handelt es sich um eine Osteotomie (Operative Zahnentfernung).

Die Extraktion erfolgt in der Regel unter einer Lokalanästhesie in Form einer Infiltrations- oder Leitungsanästhesie.

Indikation

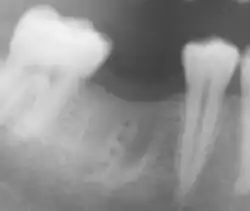
Absolute Indikation: Querfraktur der Zahnwurzel im mittleren Drittel der Zahnwurzel. Nebenbefund: Approximal-Karies
Relative Indikation: Der Zahn 37 könnte evtl. nach einer Wurzelbehandlung mit einer Krone erhalten werden. Nebenbefunde: Der Zahnkeim 38 ist retiniert und verlagert. Der Zahn 27 ist stark kariös.

Man unterscheidet zwischen absoluten und relativen Indikationen.

Absolute Indikationen

Relative Indikationen

Nach Abszessbildung extrahierter, stark geschädigter Zahn 36 bei nicht zur Wurzelspitzenresektion bereitem Patienten
  • Starke Zerstörung der Zahnhartsubstanzen (Zahnschmelz, Dentin), wenn eine Zahnerhaltung mittels Zahnfüllungen oder Krone nur noch auf Zeit möglich ist.
  • Der Patient lehnt zahnerhaltende Maßnahmen ab, soll aber dennoch von seinen Schmerzen befreit werden.
  • Der Patient kann die Kosten für notwendige zahnerhaltende Maßnahmen (zum Beispiel eine Krone) finanziell nicht leisten (soziale Indikation).
  • Es besteht ein Missverhältnis zwischen Zahn- und Kiefergröße, so dass nicht alle Zähne ausreichenden Platz finden: systematische Extraktionstherapie nach Hotz im Rahmen einer kieferorthopädischen Behandlung.[1]
  • In seltenen Fällen als Ausgleichsextraktion, wenn in der gegenüberliegenden Kieferhälfte ein Zahn fehlt und eine (Mittellinien)-Verschiebung vermieden werden soll (Beispiel: es fehlt der Zahn 35: der Zahn 45 wird im Rahmen einer Ausgleichsextraktion entfernt.)[2]

Instrumente und Technik der Zahnextraktion

Instrumente

Wie bei jedem operativen Eingriff werden heute sterile Instrumente eingesetzt, die zumeist aus Stahl gefertigt sind.

Zur Durchtrennung der Fasern des Zahnhalteapparates (Sharpey-Fasern) und zur Lockerung der Zähne werden Extraktionshebel (zum Beispiel Bein’scher Hebel oder Wurzelheber) verwendet. Zur Extraktion werden für die verschiedenen Aufgaben und Zahngruppen unterschiedlich geformte Zangen verwendet, wie es erstmals[3] Johann Bücking 1782[4] nahegelegt hatte.

Im Oberkiefer:

  • Frontzahnzangen
  • Prämolarenzangen
  • Molarenzangen (unterschiedlich für die rechte und die linke Seite)
  • Weisheitszahnzangen
  • Wurzelzangen

Im Unterkiefer:

  • Front- und Prämolarenzangen
  • Molarenzangen
  • Weisheitszahnzangen
  • Wurzelzangen

Innerhalb dieser Gruppen gibt es weitere unterschiedliche Spezialausführungen, beispielsweise für die Extraktion von Milchzähnen.

Historische Extraktionsinstrumente sind zum Beispiel ein von Louis Lécluse im 18. Jahrhundert erfundener Hebel, eine von Johann Jakob Joseph Serre (1759–1830) entwickelte pyramidenförmige Schraube, der Storchschnabel, der Pelikan oder der Geißfuß[5] und der bei Versagen dieser zangenartigen Instrumente oder anderer Zangen eingesetzte „Überwurf“.[6][7]

Technik der Zahnextraktion

In den hippokratischen Schriften (5. Jh. v. Chr.) ist die Entfernung lockerer Zähne bereits erwähnt und Aristoteles nennt um 330 v. Chr. in seiner Mechanik eine eiserne Zange zur Zahnextraktion odontagra.[8] Die Entfernung eines Zahnes erfolgt seit der Antike durch eine Lockerung des Zahnes in seinem Zahnfach. Hierzu wird der Zahn langsam und mit dosierter Kraft mittels eines Hebels oder einer Zange hin und her bewegt, wodurch der Alveolarknochen gedehnt und die Alveole erweitert wird. Bei einwurzligen Zähnen kann ergänzend eine Drehbewegung durchgeführt werden, wodurch die Sharpey-Fasern, an denen der Zahn in der Alveole aufgehängt ist, reißen. Die Extraktion ist ein invasiver Eingriff, bei dem die Körperintegrität verletzt wird. Nach der Extraktion werden die etwas gedehnten Alveolenwände manuell wieder zu ihrer ursprünglichen Form zusammengedrückt.[9]

In der Regel erfolgt vor einer Zahnextraktion eine örtliche Betäubung. Bei sehr stark gelockerten Zähnen kann eventuell darauf verzichtet werden. In Ausnahmefällen ist eine Sedierung oder Vollnarkose notwendig.

Der volkstümliche Ausdruck „einen Zahn ziehen“ geht fehl, da durch bloßes „Ziehen“ es in den allermeisten Fällen unmöglich wäre, einen Zahn zu entfernen.

Eine normale Begleiterscheinung jeder Extraktion ist eine Blutung aus den verletzten Gefäßen der Gingiva, des Zahnhalteapparates und des Knochens. Normalerweise reicht postoperativ die Auflage eines sterilen Tupfers als Druckverband für ca. 10 Minuten aus. Das entstehende Blutgerinnsel (Koagulum) ist der ideale Wundverschluss. Um die offene Wundfläche zu verringern, können chirurgische Nähte gelegt werden, insbesondere bei der Extraktion mehrerer Zähne in einer Sitzung (Reihenextraktion). Bei der Extraktion mehrerer Zähne oder absehbar großflächiger Extraktionswunde kann auch die Eingliederung einer vorher angefertigten Verbandplatte angezeigt sein.

Erforderlichenfalls kann ein Schmerzmedikament verordnet werden. Das Schmerzmittel soll wegen der gerinnungshemmenden Wirkung keine Acetylsalicylsäure (zum Beispiel Aspirin) enthalten.

Mögliche Komplikationen

Blick auf den Oberkiefer Richtung kranial
  • Fraktur des Zahnes
  • Fraktur der Wurzel
  • Fraktur der Alveolenwand
  • Schmerzen, Ödem (Schwellung), Hämatom (Bluterguss)
  • Schwierigkeiten bei der Mundöffnung bis hin zur Kieferklemme
  • Schluckbeschwerden
  • trockene Alveole: Dry Socket (lat.: Alveolitis sicca): klinisches Bild einer Wundinfektion des Kieferknochens nach einer Zahnentfernung infolge des Zerfalls des Blutkoagulums
  • Nachblutung

Seltene Komplikationen

  • Eröffnung der Kieferhöhle (im Bereich der Oberkiefer-Seitenzähne)
  • Eine Zahnwurzel (oder ein Teilstück) gelangt in die Kieferhöhle
  • Beschädigung oder Lockerung anderer Zähne
  • Verletzung von Weichgewebe

Sehr seltene Komplikationen

Ein Backenzahn, der wegen der Form der Wurzeln zum Ziehen in sechs Teile geteilt wurde.
  • Abriss des Tuber maxillae (Dessen Lage siehe Abbildung)
  • Fraktur (Bruch) des Unterkiefers oder des Kiefergelenkes
  • Luxation (Ausrenken) des Kiefergelenks
  • Verschlucken von Zähnen oder Zahnteilen
  • Aspiration von Zähnen oder Zahnteilen[9]
Knopfsonde nach Bowman. Charakteristisch sind die stumpfen Enden.

Mund-Antrum-Verbindung

Der Kieferhöhlenboden ist im Bereich der Wurzelspitzen der Oberkieferseitenzähne sehr dünn oder gar nicht vorhanden. Bei der Extraktion von Molaren, seltener von Prämolaren, kann deshalb durch die Extraktion die Kieferhöhle eröffnet werden (was keinen Behandlungsfehler darstellt). Routinemäßig wird deshalb nach der Extraktion solcher Zähne ein sogenannter Nasenblasversuch (Valsalva-Pressdruck(-Versuch)) durchgeführt. Zuverlässiger ist, die Alveole mit einer Knopfsonde auf eine Perforation hin zu sondieren. Ist der Befund positiv, so muss die entstandene Mund-Antrum-Verbindung (Mund-Kieferhöhlen-Verbindung) von einem chirurgisch versierten Zahnarzt, einem Oralchirurgen oder einem Kieferchirurgen mit einem vestibulär gestielten Dehnungslappen plastisch gedeckt werden. Andernfalls können Bakterien und Viren der Mundflora in die normalerweise sterile Kieferhöhle gelangen und eine odontogene Sinusitis maxillaris auslösen. Dazu wird das relativ derbe Periost (Knochenhaut) an der Innenseite des Lappens geschlitzt, so dass sich der Mukoperiostlappen ausreichend dehnen lässt. Der anschließende Nahtverschluss muss dicht sein.

Soweit möglich sollte der Patient das Schnäuzen in den ersten Tagen nach der Operation vermeiden, da durch den Druck der Verschluss der Kieferhöhle wieder aufreißen kann. Niesen soll mit offenem Mund erfolgen.

Bei entzündeten Kieferhöhlen (zum Beispiel durch die infizierte Wurzelspitze) versagt die primäre Deckung mit einer Lappentechnik oft, da sich das ausströmende Sekret (von der Nasenhöhle über die Alveole in die Mundhöhle) – auch bei dichtem Wundverschluss – eine Verbindung bahnt. In diesem Fall ist vor der plastischen Deckung die Ausheilung der Entzündung der Kieferhöhlenschleimhaut abzuwarten. Gegebenenfalls wird dazu durch einen Hals-Nasen-Ohrenarzt die Kieferhöhle über die eröffnete Alveole gespült.

Bei Zahnfrakturen während der Extraktion sind alle Zahnteile zu sammeln, um sicherzugehen, dass keine Zahnteile aspiriert oder in der Wunde belassen wurden. Ein Verschlucken von Zähnen oder Zahnteilen ist nur mit geringen Gefahren behaftet. Eine gefährliche Komplikation hingegen ist eine Aspiration von Zähnen oder Zahnteilen, die einer Überweisung an einen Facharzt für Hals-Nasen-Ohren-Heilkunde bedürfen.[10][11]

Eine in die Kieferhöhle luxierte Wurzel muss entfernt werden. Dies erfolgt durch einen chirurgisch versierten Zahnarzt, durch einen Facharzt für Mund-, Kiefer- und Gesichtschirurgie oder durch einen Facharzt für Hals-Nasen-Ohren-Heilkunde.

Nachbehandlung

Im Allgemeinen wird die Wunde am folgenden Tag kontrolliert. Soweit die Wunde vernäht wurde, werden nach etwa einer Woche die Nähte entfernt, sofern kein resorbierbares Nahtmaterial verwendet wurde, das sich selbst auflöst. Nach einer plastischen Deckung der Kieferhöhle erfolgt die Nahtentfernung nach zehn Tagen. Die Wunde schließt sich normalerweise im Laufe der ersten Wochen nach der Behandlung mittels primärer Wundheilung. Das Blutkoagel ist die Grundlage für die knöcherne Regeneration in der Alveole. Das Koagulum wird langsam bindegewebig organisiert, wobei bereits nach einer Woche die Knochenneubildung von den Rändern her einsetzt. Nach etwa einem Monat ist die Alveole von Faserknochen ausgefüllt, der langsam in lamellären Knochen umgebaut wird.[9]

Bei einer trockenen Alveole erfolgt eine Wundrevision durch Kürettage der Wunde und anschließendem Einlegen eines Gazestreifens, der täglich gewechselt wird. Es kommt in diesem Fall zu einer wesentlich länger dauernden sekundären Wundheilung.

Verhalten nach dem Eingriff

In der ersten Zeit nach dem Eingriff ist ein richtiges Verhalten für eine gute Wundheilung und die Vermeidung oder Minderung von Komplikationen notwendig.[9]

  • Am Tag des Eingriffs sollte die Wunde in einem zwanzigminütigen Rhythmus mittels eines Eisbeutels oder Kältepakets gekühlt werden. Dies beugt einer Schwellung vor. Durch das Lutschen von Eiswürfeln kann die Wunde zusätzlich von innen gekühlt werden.
  • Nach einigen Tagen kann, soweit keine Allergie gegen Kamille besteht, zur Unterstützung der Wundheilung nach dem Essen mit Kamille gespült werden.
  • Milchprodukte sind zu vermeiden, da die darin enthaltenen Milchsäurebakterien den sich bildenden Blutpfropf zerstören könnten.
  • Der Genuss von Koffein (Kaffee, Schwarztee, Energydrinks), Nikotin oder Alkohol ist einzuschränken, weil diese die Blutungsneigung fördern.
  • Nach jeder Nahrungsaufnahme sollen die Zähne vorsichtig mit einer weichen Zahnbürste gereinigt werden.
  • Der Wundbereich selbst soll von der Reinigung ausgenommen werden, um Wundheilungsstörungen zu vermeiden.
  • Körperliche Anstrengungen sind zu vermeiden, da es durch den Blutdruckanstieg zu Nachblutungen kommen kann.

Folgetherapie

Ist der Ersatz des extrahierten Zahnes notwendig, stehen dafür je nach Befund verschiedene Möglichkeiten des Zahnersatzes, einschließlich der Versorgung durch ein Implantat zur Verfügung.

Härtefallregelung versus soziale Indikation bei Zahnextraktionen

Nach § 55 SGB V haben versicherte Geringverdiener je nach Einkommen und familiärer Situation (z. B. Lebenspartner erhöhen die Einkommensgrenze) Anspruch auf eine Teil- oder vollständige Übernahme der Behandlungskosten für die Regelversorgung.[12]

Wird eine andere Versorgung gewünscht, können die Kosten der Regelversorgung von den Kosten der anderweitigen Versorgung abgesetzt werden (§ 55 Abs. 4 und 5 SGB V).

Die Härtefallregelung greift nicht, falls „zu erkennen“ ist, dass der Versicherte sein Gebiss nicht gepflegt hat und/oder die zahnärztlichen Kontrollen nicht in Anspruch genommen hat (§ 55 Abs. 1 SGB V).

Nutzung extrahierter Zähne

In jüngerer Zeit hat sich eine Diskussion entwickelt über die ethische Zulässigkeit der Nutzung extrahierter Zähne ohne Herkunftsnachweis in Forschung und Lehre.[13]

Siehe auch

Commons: Chirurgische zahnmedizinische Instrumente – Sammlung von Bildern, Videos und Audiodateien
Wiktionary: Extraktion – Bedeutungserklärungen, Wortherkunft, Synonyme, Übersetzungen

Einzelnachweise

  1. Gottfried P. F. Schmuth: Kieferorthopädie, Georg Thieme Verlag, Stuttgart
  2. Gottfried P. F. Schmuth: Kieferorthopädie, Georg Thieme Verlag, Stuttgart.
  3. Aus der Geschichte des Zahnziehens – Zahnzange. Research Uni-Leipzig.
  4. Johann Jakob Heinrich Bücking: Vollständige Anweisung zum Zahnausziehen von Bücking, der Arzneigelahrtheit und Wundarzneikunst Doktor. Stendal 1782.
  5. Dominik Groß: Zahnextraktion. In: Werner E. Gerabek, Bernhard D. Haage, Gundolf Keil, Wolfgang Wegner (Hrsg.): Enzyklopädie Medizingeschichte. De Gruyter, Berlin / New York 2005, ISBN 3-11-015714-4, S. 1516 f., hier: S. 1516.
  6. Ullrich Rainer Otte: Jakob Calmann Linderer (1771–1840). Ein Pionier der wissenschaftlichen Zahnmedizin. Medizinische Dissertation, Würzburg 2002 (mit Textedition von Lehre von den gesammten Zahnoperationen. 1834, hier: S. 47–55 (Die Zahnzangen), 56–64 (Der Geisfuß), 64–68 (Der Zahnschlüssel), 68–73 (Der Pelikan) und 73–75 (Der Ueberwurf) sowie S. 75 f. (Der Hebel) und S. 76 f. (Pyramidenförmige Schraube)).
  7. Vgl. auch Barbara Schirmbeck, Sabine Fahrenbach: Von Pelikan und Überwurf. Zahnärztliche Extraktionsinstrumente aus der Sammlung des Karl-Sudhoff-Instituts. Aachen 2011 (= Objekte. Band 4).
  8. Dominik Groß: Zahnextraktion. 2005, S. 1516.
  9. a b c d N. Jakse: Extraktionskunde. (Memento vom 10. Juli 2012 im Internet Archive; PDF) Universität Graz.
  10. Joachim Gabka, Herbert Harnisch: Operationskurs für Zahnmediziner. Georg Thieme Verlag, Stuttgart.
  11. Joachim Gabka, Herbert Harnisch: Komplikationen und Fehler bei der zahnärztlichen Behandlung. Georg Thieme Verlag, Stuttgart.
  12. § 55 SGB V Leistungsanspruch. Abgerufen am 24. Juli 2018.
  13. Dominik Groß, Christian Lenk, Brigitte Utzig: Normative Rahmenbedingungen der Rekrutierung und Nutzung extrahierter Zähne in Forschung und Lehre. In: Ethik in der Medizin, Band 28, Nr. 1, 2016, S. 21–31.