Developmental Venous Anomaly

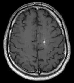
DVA in der Magnetresonanztomographie: T1 mit Kontrastmittel axial
DVA in der Magnetresonanztomographie: T1 mit Kontrastmittel coronal

Bei der Developmental Venous Anomaly (DVA) handelt es sich um eine gutartige, venöse Fehlbildung im Gehirn, die in den meisten Fällen symptomlos bleibt. Im typischen Fall zeichnet sich die Anomalie durch einen Strauß erweiterter, medullärer Venen aus, die auf eine kaliberstarke zentrale Drainagevene konvergieren. Die Venen sind an der normalen Drainage des Hirngewebes beteiligt, so dass ein Verschluss zu einer hämorrhagischen Infarzierung führen kann. Oft werden DVAs zufällig bei einer Magnetresonanztomographie des Gehirns entdeckt. Sie können jedoch auch mit anderen Gefäßfehlbildungen wie z. B. Kavernomen assoziiert sein.

Früher war für diese Anomalie auch der Begriff venöses Angiom gebräuchlich, der jedoch einen neoplastischen Ursprung unterstellt und somit unzutreffend ist.

Quellen

  • A.J. Barkovich: Pediatric Neuroradiology Amirsys, Salt Lake City 2007 ISBN 978-1-4160-4918-0
  • K. Sartor: Neuroradiologie Thieme, Stuttgart ISBN 3-13-100912-8
Commons: Developmental venous anomaly – Sammlung von Bildern, Videos und Audiodateien