Desulfovibrio
| Desulfovibrio | ||||||||||||
|---|---|---|---|---|---|---|---|---|---|---|---|---|
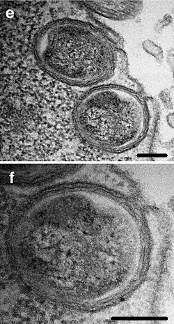
TEM-Aufnahmen von „Ca. D. trichonymphae“ Rs-N31, einem Ektosymbionten von Trichonympha collaris (Parabasalia) im Verdauungstrakt der Termite Zootermopsis nevadensis. | ||||||||||||
| Systematik | ||||||||||||
| ||||||||||||
| Wissenschaftlicher Name | ||||||||||||
| Desulfovibrio | ||||||||||||
| (Beijerinck 1895) Kluyver & van Niel 1936 |

Desulfovibrio ist eine Gattung Gram-negativer Sulfat-reduzierender Bakterien.
Die sulfatreduzierenden Bakterien bilden Adenosintriphosphat (ATP), indem sie organische Verbindungen mit Sulfat oxidieren. Hierbei wird aus dem Sulfat Schwefelwasserstoff gebildet. Der Prozess, bei dem die Bakterien durch Oxidation organischer Verbindungen mit Sulfat Adenosintriphosphat bilden, wird als Sulfatatmung bezeichnet. Der so gebildete Schwefelwasserstoff kann durch schwefeloxidierende Bakterien zu Schwefelsäure oxidiert werden. Dies kann zu Problemen führen, beispielsweise kann durch die Schwefelsäure Beton angegriffen werden.[1]
Desulfovibrio-Arten sind häufig in Gewässern mit hohem Anteil an organischem Material sowie in wassergesättigten Böden anzutreffen. Sie sind wichtige Mitglieder von Gemeinschaften in extrem oligotrophen Lebensräumen, wie z. B. in zerklüfteten tiefen granitischen Grundwasserleitern.
In der Pathologie wurden hohe Mengen an Desulfovibrio-Bakterien mit (chronisch-)
Von einige Desulfovibrio-Arten ab ca. 1992 gezeigt, dass sie ein Potential für die Bioremediation toxischer Radionuklide wie Uran haben. Dies wird ermöglicht durch einen reduktiven Bioakkumulationsprozess, d. h. durch die biologische Umwandlung (Präzipitation oder Ausfällung) von gut wasserlöslichem Uran(VI) in relativ unlösliches Uran(IV), worauf das toxische Uran aus dem kontaminierten Wasser entfernt werden kann.[4] Desulfovibrio alaskensis G20 führt dies in Gegenwart eines Elektronendonors wie Wasserstoff durch. Auch Desulfovibrio desulfuricans G20 ist hierzu in der Lage, es kann auch Cr(VI) reduzieren.[5]
Systematik
Die gegenwärtig akzeptierte Taxonomie basiert auf der List of Prokaryotic names with Standing in Nomenclature (LPSN)[6] und dem National Center for Biotechnology Information (NCBI).[7]
Synonyme
Die LPSN betrachtet die folgenden Gattungsnamen als Synonyme von Desulfovibrio:
- Desulfomonas Moore et al. 1976 alias Moore, Johnson & Holdeman 1976
- „Aminidesulfovibrio“ Waite et al. 2020
- „Psychrodesulfovibrio“ Galushko & Kuever 2020
- „Alteridesulfovibrio“ Galushko & Kuever 2019
- „Frigididesulfovibrio“ Waite et al. 2020
- „Alteridesulfovibrio“ Waite et al. 2020
- „Frigididesulfovibrio“ Galushko & Kuever 2019
- „Aminidesulfovibrio“ Galushko & Kuever 2019
Artenliste

Artenliste nach der LPSN (Stand 17. Dezember 2023):[6]
- Desulfovibrio aminophilus Baenaet al. 1999
- „Desulfovibrio biadhensis“ Fadhlaoui et al. 2015
- „Desulfovibrio caledoniensis“ Wu et al. 2002
- „Desulfovibrio cavernae“ Sass & Cypionka 2004
- Desulfovibrio cuneatus Sass et al. 1998
- Desulfovibrio desulfuricans (Beijerinck 1895) Kluyver & van Niel 1936
- „Desulfovibrio diazotrophicus“ corrig. Sayavedra et al. 2021
- „Candidatus Desulfovibrio faecigallinarum“ Gilroy et al. 2021
- „Desulfovibrio fairfieldensis“ McDougall et al. 1997
- „Desulfovibrio ferrophilus“ Emerson et al. 2007
- Desulfovibrio furfuralis Folkerts et al. 1989
- „Candidatus Desulfovibrio gallistercoris“ Gilroy et al. 2021
- Desulfovibrio giganteus corrig. Esnault et al. 1988
- Desulfovibrio gilichinskyi Ryzhmanova et al. 2019
- „Desulfovibrio hontreensis“ Tarasov et al. 2015
- Desulfovibrio indonesiensis corrig. Feio et al. 2000
- Desulfovibrio inopinatus Reichenbecher & Schink 1999
- Desulfovibrio intestinalis Fröhlich et al. 1999
- „Candidatus Desulfovibrio intestinavium“ Gilroy et al. 2021
- „Candidatus Desulfovibrio intestinigallinarum“ Gilroy et al. 2021
- „Candidatus Desulfovibrio intestinipullorum“ Gilroy et al. 2021
- „Candidatus Desulfovibrio kirbyi“ Takeuchi et al. 2020
- Desulfovibrio legallii corrig. Thabet et al. 2013
- Desulfovibrio litoralis Sass et al. 1998
- Desulfovibrio longreachensis corrig. Redburn & Patel 1995
- „Desulfovibrio mangrovi“ Zhou et al. 2023
- „Desulfovibrio multispirans“ Czechowski et al. 1984
- „Desulfovibrio oryzae“ Bacmaga et al. 2020
- Desulfovibrio oxyclinae Krekeler et al. 2000
- Desulfovibrio piger (Moore et al. 1976) Loubinoux et al. 2002
- Desulfovibrio porci Wylensek et al. 2021
- Desulfovibrio psychrotolerans Sasi Jyothsna et al. 2008
- Desulfovibrio simplex Zellner et al. 1990
- „Desulfovibrio singaporenus“ Sheng et al. 2008
- Desulfovibrio subterraneus Ueno et al. 2021
- „Candidatus Desulfovibrio trichonymphae“ Sato et al. 2009
- Desulfovibrio zosterae Nielsen et al. 1999
Verschiebungen
Die folgenden Arten sind nach der LPSN nicht (mehr) Mitglieder der Gattung Desulfovibrio, sondern anderen (neuen) Gattungen innerhalb der Familie Desulfovibrionaceae zugeordnet:[6]
- Desulfovibrio vulgaris → Nitratidesulfovibrio vulgaris (Postgate & Campbell 1966) Waite et al. 2020
- Desulfovibrio alaskensis → Oleidesulfovibrio alaskensis (Feio et al. 2004) Waite et al. 2020
- Desulfovibrio lacusfryxellense → Maridesulfovibrio lacusfryxellense (Sattley & Madigan 2010) Galushko & Kuever 2021
- …
Zur Familie Pseudomonadaceae (Gammaproteobacteria) wird in der LPSN zugeordnet:[6]
- Desulfovibrio desulfuricans, ursprünglich Vibrio desulfuricans (NCBI) -> Sporovibrio Starkey 1938
Phylogenie
Zur Phylogenie der Gattung Desulfovibrio wurden u. a. folgende Vorschläge gemacht:
| 16S-rRNA-basiert LTP_01_2022[8] | Auf 120 Markerproteinen basierend GTDB 07-RS207[9] | ||||||||||||||||||||||||||||||||||||||||||||||||||||||||||||||||||||||||||||||||||||||||||||||||||||||||||||
|---|---|---|---|---|---|---|---|---|---|---|---|---|---|---|---|---|---|---|---|---|---|---|---|---|---|---|---|---|---|---|---|---|---|---|---|---|---|---|---|---|---|---|---|---|---|---|---|---|---|---|---|---|---|---|---|---|---|---|---|---|---|---|---|---|---|---|---|---|---|---|---|---|---|---|---|---|---|---|---|---|---|---|---|---|---|---|---|---|---|---|---|---|---|---|---|---|---|---|---|---|---|---|---|---|---|---|---|---|---|
|
|
Weblinks
- Amira Amrani, Aurelie Bergon, Helene Holota, Christian Tamburini, Marc Garel, Bernard Ollivier, Jean Imbert, Alain Dolla: Transcriptomics Reveal Several Gene Expression Patterns in the Piezophile Desulfovibrio hydrothermalis in Response to Hydrostatic Pressure. In: PLOS ONE. 9. Jahrgang, Nr. 9, 12. September 2014, S. e106831, doi:10.1371/journal.pone.0106831, PMID 25215865, PMC 4162548 (freier Volltext), bibcode:2014PLoSO...9j6831A (englisch).
- H. Melvin Czechowski, H(arold). W. Rossmore: The Effect of Selected Industrial Biocides on Lactate Metabolism in Desulfovibrio desulfuricans. In: Developments in Industrial Microbiology, Kapitel 76, Society for Industrial Micobiology, 1981 (englisch).
- Mohor Chatterjee, Yu Fan, Fang Cao, Aaron A. Jones, Giovanni Pilloni, Xiaozhou Zhang: Proteomic study of Desulfovibrio ferrophilus IS5 reveals overexpressed extracellular multi-heme cytochrome associated with severe microbiologically influenced corrosion. In: Nature: Scientific Reports, Band 11, 29. Juli 2021, S. 15458; doi:10.1038/s41598-021-95060-0, PMID 34326431, PMC 8322314 (freier Volltext) (englisch).
Literatur
- M. Madigan, J. Martinko (Hrsg.): Brock Biology of Microorganisms. 11. Auflage. Prentice Hall, 2005, ISBN 0-13-144329-1 (englisch). 16. Auflage, 1. Juli 2021, 1128 Seiten, ISBN 978-1-292-40479-0.
Einzelnachweise
- ↑ General Considerations. In: Chemolithoautotrophic Bacteria. Springer Japan, Tokyo 2008, ISBN 978-4-431-78540-8, S. 1–10, doi:10.1007/978-4-431-78541-5_1.
- ↑ Hong-Xia Fan, Shuo Sheng, Feng Zhang: New hope for Parkinson's disease treatment: Targeting gut microbiota. In: CNS Neuroscience & Therapeutics. 28. Jahrgang, Nr. 11, 13. Juli 2022, S. 1675–1688, doi:10.1111/cns.13916, PMID 35822696, PMC 9532916 (freier Volltext) – (englisch).
- ↑ Li, Zhe; Liang, Hongfeng; Hu, Yingyu: Gut bacterial profiles in Parkinson's disease: A systematic review. In: CNS Neuroscience & Therapeutics. 29. Jahrgang, Nr. 1, 25. Oktober 2023, S. 140–157, doi:10.1111/cns.13990, PMID 36284437, PMC 9804059 (freier Volltext) – (englisch).
- ↑ Derek R. Lovley, Elizabeth J. P. Phillips: Bioremediation of uranium contamination with enzymatic uranium reduction. In: Environmental Science & Technology. 26. Jahrgang, Nr. 11, November 1992, S. 2228–2234, doi:10.1021/es00035a023, bibcode:1992EnST...26.2228L (englisch).
- ↑ Abirami Subramanian, Sushmitha Baskar: Biomineralization of Toxic Chemicals and Radionuclides by Geomicrobes. In: Mineral Transformation and Bioremediation by Geo-Microbes. Springer Nature Singapore, Singapore 2025, ISBN 978-981-9630-32-5, S. 89–104, doi:10.1007/978-981-96-3033-2_5 (springer.com [abgerufen am 9. Mai 2025]).
- ↑ a b c d LPSN: Genus Desulfovibrio Kluyver and van Niel 1936 (Approved Lists 1980).
- ↑ NCBI: Desulfovibrio, Details: [Desulfovibrio Kluyver and van Niel 1936 (Approved Lists 1980) emend. Loubinoux et al. 2002, …] (genus), heterotypic synonym: "Sporovibrio" Starkey 1938, Desulfomonas Moore et al. 1976.
- ↑ The LTP. Abgerufen am 23. Februar 2022 (englisch). Dazu:
- LTP_all tree in newick format. Archiviert vom am 4. September 2022; abgerufen am 23. Februar 2022 (englisch).
- LTP_01_2022 Release Notes. Abgerufen am 23. Februar 2022 (englisch).
- ↑
GTDB: Desulfovibrionaceae (fam.). Mit:
- Desulfovibrio (gen.)
- Desulfovibrio_Q (gen.)
- Alteridesulfovibrio (gen.)
- Aminidesulfovibrio (gen.)
- g__Frigididesulfovibrio (gen.)
- GTDB release 07-RS207. In: Genome Taxonomy Database. Abgerufen am 20. Juni 2022 (englisch).
- bac120_r207.sp_labels. In: Genome Taxonomy Database. Abgerufen am 20. Juni 2022 (englisch).
- Taxon History. In: Genome Taxonomy Database. Abgerufen am 20. Juni 2022 (englisch).
