Chronische Cerebro-Spinale Venöse Insuffizienz
| Klassifikation nach ICD-10 | |
|---|---|
| I87.2 | Venöse Insuffizienz (chronisch) (peripher) |
| ICD-10 online (WHO-Version 2019) | |



Chronische Cerebro-Spinale Venöse Insuffizienz (CCSVI) ist ein Syndrom, bei dem die Hals- und Thoraxvenen nicht in der Lage sind, das Blut effizient aus dem zentralen Nervensystem (ZNS) abzuleiten. Es wird vermutet, dass dies durch Stenosen (Verengungen) der Vena jugularis interna und/oder der Vena azygos hervorgerufen wird. Ein solches „System“ wurde von Paolo Zamboni 2008 beschrieben. Er propagierte auch einen möglichen Zusammenhang von CCSVI mit der Multiplen Sklerose (MS), eine Hypothese, die bereits ab den 1930er Jahren diskutiert wurde. Ein kausaler Zusammenhang mit der Multiplen Sklerose konnte nicht nachgewiesen werden. In einer relativ kleinen Studie Zambonis (300 Teilnehmer), wurde das Syndrom bei allen MS-Patienten gefunden, jedoch bei keiner Kontrollperson.[1] CCSVI wurde 2009 als vaskuläre Fehlbildung klassifiziert.[2]
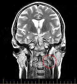
Diagnose
Die zuverlässigste Untersuchungsmethode um CCSVI festzustellen ist eine Katheter-Venographie. Allerdings ist diese mit einem relativ hohen Aufwand an Ressourcen verbunden und bringt für den Patienten eine nicht unerhebliche Strahlenbelastung mit sich. Deshalb wird in aller Regel davor eine Voruntersuchung mittels Magnetresonanz-Venographie sowie eine extra- und transkranielle Doppler-Sonographie[1] durchgeführt. Nur falls diese Voruntersuchungen einen hinreichenden Verdacht auf pathologische Veränderung der Venen geben, wird anschließend die Katheter-Venographie durchgeführt.
Verbindung zur Multiplen Sklerose
Hypothese der „venösen Multiplen Sklerose“
Bereits in den 1930er bis 1940er Jahren kamen Hypothesen über eine mögliche stenosebedingte Entstehung der Multiplen Sklerose auf, die aber nicht bestätigt werden konnten.[3][4][5][6]
Gegen Mitte bis Ende der achtziger Jahre wurde diese Hypothese erneut diskutiert.[7][8][9]
Ab 2008 wurde die Hypothese von dem italienischen Gefäßchirurgen Paolo Zamboni neu belebt. Nach seinen Untersuchungen korreliere die CCSVI hochsignifikant mit der Multiplen Sklerose und sei nur bei Patienten mit dieser Erkrankung zu finden.[1] In seiner Studie waren progressive Varianten der MS, aber nicht Sonderformen wie Baló- oder Schilder-MS, eingeschlossen. Die Ergebnisse führten zu einer Theorie, nach der zumindest einige Fälle von MS-Erkrankungen durch CCSVI verursacht werden könnten. Eine große (1.500 Probanden) doppelblinde Studie hierzu wird derzeit am Buffalo Neuroimaging Analysis Center durchgeführt.[10]
Die Theorie eines Zusammenhangs von CCSVI und Multiple Sklerose geht davon aus, dass es, bedingt durch unterschiedliche Fehlbildungen der drainierenden Blutgefäße, zu einem Rückfluss von Blut ins ZNS kommt und es dadurch zu erhöhten Ablagerungen von neurotoxischem Eisen im Gehirn kommt. Diese Ablagerungen und der durch sie herbeigeführte Zelluntergang löse die für die MS typischen Autoimmun-Reaktionen aus. Auf der Grundlage diese Theorie wurden im Rahmen einer Studie 65 MS-Patienten experimentell mittels Ballondilatation behandelt.[11]
Um den möglichen Zusammenhang zwischen der Multiplen Sklerose und der CCSVI genauer zu untersuchen, haben die Multiple Sclerosis Society of Canada und die National MS Society (USA) gemeinsam sieben Studien mit einer Laufzeit von jeweils etwa zwei Jahren in Auftrag gegeben.[12]
Eine deutsche Studie aus dem Jahre 2010 verneinte nach der Untersuchung von 56 MS-Patienten einen ursächlichen Zusammenhang zwischen der CCSV und der Multiplen Sklerose.[13]
Eine Untersuchung an 499 Patienten und gesunden Kontrollen ergab lediglich eine moderate Sensitivität und Spezifität des Befundes.[14]
Der Forschungsstand wurde 2011 in einer Übersichtsarbeit wie folgt zusammengefasst:
„A critical analysis of the scientific methods used in the original studies of chronic cerebrospinal venous insufficiency in multiple sclerosis reveals several methodological problems with regard to potential bias and confounding. The current evidence calls into question whether chronic cerebrospinal venous insufficiency in multiple sclerosis exists at all.[15]“
Diese Einschätzungen wurden 2013 durch eine in Lancet veröffentlichte Studie untermauert, die zusätzlich zu den bisher verwendeten Ultraschalluntersuchungen der Venen die als Goldstandard der bildgebenden Diagnostik venöser Stenosen angesehene Katheter-Venographie einsetze. Eine CCSVI wurde in dieser Studie durchgehend bei 2–3 % der untersuchten Probanden gefunden ohne Unterschiede zwischen MS-Patienten, deren Geschwistern und einer gesunden Kontrollgruppe.[16] Auch die in Deutschland durchgeführten Studien ergaben laut einer 2013 veröffentlichten Übersichtsarbeit keine Hinweise auf eine venöse Ursache für MS, weshalb weiterhin davon abgeraten wird, außerhalb von kontrollierten klinischen Studien Venenerweiterungen als Therapieversuch von MS einzusetzen.[17]
Kritik an der CCSVI-Hypothese
Die Deutsche Multiple Sklerose Gesellschaft (DMSG) veröffentlichte eine allgemeine Warnung und forderte eine wissenschaftliche Überprüfung der CCSVI-Theorie. Ihre Gesamtbeurteilung: „Nach unserem wissenschaftlichen Urteil entbehren die von Zamboni et al. vorgestellten Studienergebnisse einer soliden wissenschaftlichen Methodik und sind damit wertlos und sogar ethisch bedenklich.“[18]
Anlässlich der Neurowoche 2010 warnt die DGN (Deutsche Gesellschaft für Neurologie) „… vor sinnlosen und gefährlichen Gefäßeingriffen bei Multiple-Sklerose-Patienten, die derzeit auch in Deutschland gegen privates Honorar angeboten werden. Die Eingriffe beruhen auf einer wissenschaftlich nicht haltbaren Theorie des italienischen Arztes Paolo Zamboni zur Entstehung der Krankheit, kritisieren führende Neurologen.“[19]
Die US-amerikanische Aufsichtsbehörde FDA warnte am 10. Mai 2012 in einem "alert" mit dem Titel "FDA issues alert on potential dangers of unproven treatment for multiple sclerosis" vor dem so genannten "liberation treatment", das auf der CCSVI-Hypothese beruht.[20]
Anlässlich der europäischen MS-Tagung ECTRIMS im Oktober 2010 wurden MS-Erkrankte sogar vom italienischen Arzt Paolo Zamboni, der die umstrittene CCSVI-Hypothese bei MS ins Leben gerufen hat, davor gewarnt, sich vorschnell behandeln zu lassen und vor einem operativen Eingriff weitere klinische Studien abzuwarten.[21]
Behandlung
Es gibt keine unabhängigen wissenschaftlichen Belege einer positiven Wirkung der aktuell bei CCSVI praktizierten Therapieoptionen. Gegenwärtig wird versucht, mittels Ballondilatation die Verengungen der Venen zur beseitigen.[22] Die Studie zeigte aber auch, dass der Erfolg der Behandlung, je nach Ursache und Lage der Stenosen, teilweise nicht von Dauer war. In problematischen Fällen wird an manchen Operations-Zentren die Implantation eines Stents erwogen, um die Vene dauerhaft offen halten zu können. Das Risiko einer erneuten Verengung der Venen ist in den Jugularis-Venen signifikant höher als in der Vena azygos.[22]
Siehe auch
Weblinks
- Neue Vaskuläre Hypothese der Multiplen Sklerose? Aktuelle Stellungnahme des Ärztlichen Beirates der DMSG, Bundesverband e. V. zur Hypothese einer venös bedingten Ursache der Multiplen Sklerose; abgerufen am 8. Dezember 2009
- Hilarescere Foundation
- MRI-CCSVI Pilotstudie mit MRA/MRV und SWI
- CSVI-MS. A swiss research-tracking group
- Alfons F. Schelling: Multiple Sclerosis: The Image and its Message (PDF; 900 kB), Table of Contents
- Kanadischer Fernsehbericht zu CCSVI
Einzelnachweise
- ↑ a b c P. Zamboni et al.: Chronic cerebrospinal venous insufficiency in patients with multiple sclerosis. In: J. Neurol. Neurosurg. Psychiatr. 80. Jahrgang, Nr. 4, April 2009, S. 392–399, doi:10.1136/jnnp.2008.157164, PMID 19060024, PMC 2647682 (freier Volltext) – (bmj.com).
- ↑ B. B. Lee, J. Bergan, P. Gloviczki, J. Laredo, D. A. Loose, R. Mattassi, K. Parsi, J. L. Villavicencio, P. Zamboni: Diagnosis and treatment of venous malformations consensus document of the International Union of Phlebology (IUP)-2009. In: Int Angiol. 28. Jahrgang, Nr. 6, Dezember 2009, S. 434–51, PMID 20087280 (minervamedica.it).
- ↑ T. Putnam: "Encephalitis" and sclerotic plaques produced by venular obstruction. In: Arch Neurol Psychiatry. Band 33, Nr. 5, 1935, S. 929–940.
- ↑ T. Putnam: Evidences of vascular occlusion in multiple sclerosis and encephalomyelitis. In: Arch Neurol Psychiatry, Band 37, Nr. 6, 1937, S. 1298–1321.
- ↑ T. Putnam, A. Adler: Vascular architecture of the lesions of multiple sclerosis. In: Arch Neurol Psychiat, Band 38, 1937, S. 1.
- ↑ R. S. Dow, G. Berglund: Vascular pattern of lesions of multiple sclerosis. In: Arch Neurol Psychiatry. Band 47, Nr. 1, 1942, S. 1–18
- ↑ J. C. Walton, J. C. Kaufmann: Iron deposits and multiple sclerosis. In: Arch Pathol Lab Med, Band 108, Nr. 9, September 1984, S. 755–756. PMID 6547829.
- ↑ C. W. Adams, Y. H. Abdulla, E. M. Torres, R. N. Poston: Periventricular lesions in multiple sclerosis: their perivenous origin and relationship to granular ependymitis. In: Neuropathol Appl Neurobiol. Band 13, Nr. 2, 1987, S. 141–152. PMID 3614542.
- ↑ F. Schelling: Damaging venous reflux into the skull or spine: relevance to multiple sclerosis. In: Med Hypotheses. Band 21, Nr. 2, Oktober 1986, S. 141–148. PMID 3641027.
- ↑ bnac.net: CTEVD/CCSVI Study ( vom 8. Januar 2010 im Internet Archive) (englisch)
- ↑ A. V. Singh, P. Zamboni: Anomalous venous blood flow and iron deposition in multiple sclerosis. In: J. Cereb. Blood Flow Metab. 29. Jahrgang, Nr. 12, Dezember 2009, S. 1867–1878, doi:10.1038/jcbfm.2009.180, PMID 19724286.
- ↑ mssociety.ca: Over $2.4 million committed to support seven operating grants to explore the relationship of CCSVI to multiple sclerosis ( vom 14. Juni 2010 im Internet Archive) (englisch)
- ↑ F. Doepp, F. Paul, J. M. Valdueza, K. Schmierer, S. J. Schreiber: No cerebro-cervical venous congestion in patients with multiple sclerosis. In: Annals of Neurology. 2010. doi:10.1002/ana.22085.
- ↑ R. Zivadinov, K. Marr, G. Cutter, M. Ramanathan, R. H. Benedict, C. Kennedy, M. Elfadil, A. E. Yeh, J. Reuther, C. Brooks, K. Hunt, M. Andrews, E. Carl, M. G. Dwyer, D. Hojnacki, B. Weinstock-Guttman: Prevalence, sensitivity, and specificity of chronic cerebrospinal venous insufficiency in MS. In: Neurology. Band 77, Nummer 2, Juli 2011, S. 138–144, doi:10.1212/WNL.0b013e318212a901.
- ↑ B. A. Bagert, E. Marder, O. Stüve: Chronic cerebrospinal venous insufficiency and multiple sclerosis. In: Archives of Neurology. Band 68, Nummer 11, November 2011, S. 1379–1384. doi:10.1001/archneurol.2011.179 (Review).
- ↑ A. L. Traboulsee et al.: Prevalence of extracranial venous narrowing on catheter venography in people with multiple sclerosis, their siblings, and unrelated healthy controls: a blinded, case-control study. In: The Lancet. 8. Oktober 2013. doi:10.1016/S0140-6736(13)61747-X
- ↑ R. Gold et al.: Übersicht und Analyse internationaler Fall-Kontroll-Studien zu „Chronischen zerebrospinalen venösen Insuffizienz“ (CCSVI) und Multipler Sklerose. In: Aktuelle Neurologie. Band 40, Nr. 08, 2013, S. 445–451. doi:10.1055/s-0033-1351271.
- ↑ DMSG: Neue Vaskuläre Hypothese der Multiplen Sklerose? Stellungnahme der DMSG zur CCSVI-Hypothese, 8. Dezember 2009. Abgerufen am 8. Januar 2010
- ↑ DGN: Neurologen warnen vor gefährlicher Therapie bei Multipler Sklerose ( des vom 27. März 2016 im Internet Archive) (PDF; 106 KB), 17. September 2010. Abgerufen am 27. Dezember 2023
- ↑ fda.gov
- ↑ DMSG: Hypothese einer venösen Insuffizienz (CCSVI) Thema bei ECTRIMS ( des vom 27. Dezember 2011 im Internet Archive), 23. November 2010. Abgerufen am 27. Dezember 2023
- ↑ a b P. Zamboni et al.: A prospective open-label study of endovascular treatment of chronic cerebrospinal venous insufficiency. In: J. Vasc. Surg. 50. Jahrgang, Nr. 6, Dezember 2009, S. 1348–1358.e1–3, doi:10.1016/j.jvs.2009.07.096, PMID 19958985 (elsevier.com).