Cavum septi pellucidi

Cavum septi pellucidi beim Fetus als Normalbefund in der pränatalen Kernspintomographie.
Nicht zurückgebildetes Cavum septi pellucidi beim Erwachsenen in der Kernspintomographie, T1 coronal
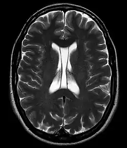
Cavum septi pellucidi / Cavum vergae in der Kernspintomographie, T2 axial

Als Cavum septi pellucidi (auch Septum-pellucidum-Zyste, Pseudoventrikel, fünfter Ventrikel, Duncans Ventrikel, Sylvischer Ventrikel, Vieussens’ Ventrikel, Wenzels Ventrikel und weitere) bezeichnet man den Hohlraum zwischen den Blättern des Septum pellucidum zwischen den Vorderhörnern der Seitenventrikel des Gehirns. Wenn eine Ausdehnung nach dorsal hinter das Foramen Monroi vorliegt, spricht man von einem Cavum vergae, wobei es sich nicht um eine andere anatomische Struktur handelt.

Das Cavum septi pellucidi ist eine normale anatomische Struktur in der Entwicklung des Feten, die beim Erwachsenen in der Regel zurückgebildet bzw. obliteriert ist. Man findet das Cavum septi pellucidi noch bei praktisch allen Frühgeborenen, bei 85 % normaler Neugeborener und in 1 bis 20 % noch bei Erwachsenen. Ein Cavum vergae zeigt sich bis zum 6. Monat ebenfalls bei 100 % der Feten und bei 30 % der normalen Neugeborenen. Bei Erwachsenen wird eine Häufigkeit von weniger als 1 % angegeben.

Der Hohlraum beinhaltet in der Regel normalen Liquor. Eine Kommunikation mit den anderen Liquorräumen kann, muss aber nicht vorhanden sein. Als Zufallsbefund beim Erwachsenen in der Computertomographie oder Kernspintomographie gefunden, ist das Cavum meist nur wenige Millimeter groß. Auch größere Befunde machen selten Probleme. In Einzelfällen kommt es zu einer Kompression des Foramen Monroi mit Ausbildung eines Hydrozephalus. In diesen Fällen ist eine neurochirurgische Behandlung zur Dekompression notwendig.

Ein Cavum septi pellucidi ist relativ oft neuropathologisch in frühen Stadien der neurodegenerativen Erkrankung chronisch-traumatische Enzephalopathie erkennbar.[1]

Differentialdiagnose

Quellen

  • D.H. Yock: Magnetic Resonance Imaging Of CNS Disease Mosby, St. Louis 2002, ISBN 0-323-01172-1
  • A.J. Barkovich: Pediatric Neuroradioloy Amirsys, Salt Lake City 2007, ISBN 978-1-4160-4918-0
  • Monica Epelman et al.: Differential diagnosis of intracranial cystic lesions at head US: correlation with CT and MR imaging. In: Radiographics, 2006, 26:173–196, PMID 16418251
  • A. Sencer et al.: Cerebrospinal fluid dynamics of the cava septi pellucidi and vergae in J. Neurosurg. 2001, PMID 11147881

Einzelnachweise

  1. AC McKee, Stein TD, Kiernan PT, Alvarez VE: The neuropathology of chronic traumatic encephalopathy. In: Brain Pathology. 25. Jahrgang, 2015, S. 350–364, PMC 4526170 (freier Volltext).