CADASIL

Klassifikation nach ICD-10
I67.8 Sonstige näher bezeichnete zerebrovaskuläre Krankheiten
{{{02-BEZEICHNUNG}}}
{{{03-BEZEICHNUNG}}}
{{{04-BEZEICHNUNG}}}
{{{05-BEZEICHNUNG}}}
{{{06-BEZEICHNUNG}}}
{{{07-BEZEICHNUNG}}}
{{{08-BEZEICHNUNG}}}
{{{09-BEZEICHNUNG}}}
{{{10-BEZEICHNUNG}}}
{{{11-BEZEICHNUNG}}}
{{{12-BEZEICHNUNG}}}
{{{13-BEZEICHNUNG}}}
{{{14-BEZEICHNUNG}}}
{{{15-BEZEICHNUNG}}}
{{{16-BEZEICHNUNG}}}
{{{17-BEZEICHNUNG}}}
{{{18-BEZEICHNUNG}}}
{{{19-BEZEICHNUNG}}}
{{{20-BEZEICHNUNG}}}
Vorlage:Infobox ICD/Wartung {{{21BEZEICHNUNG}}}
ICD-10 online (WHO-Version 2019)
Der autosomal-dominante Erbgang

CADASIL (Cerebral Autosomal Dominant Arteriopathy with Subcortical Infarcts and Leukoencephalopathy; deutsch zerebrale autosomal-dominante Arteriopathie mit subkortikalen Infarkten und Leukenzephalopathie) ist eine genetische Erkrankung, die zu familiär gehäuften Schlaganfällen im mittleren Lebensalter führen kann. Im Gegensatz zum klassischen Hirninfarkt, der häufig durch eine Arteriosklerose oder andere stenosierende Prozesse verursacht wird, liegt hier eine Mutation im NOTCH3-Gen auf dem kurzen Arm des Chromosoms 19 vor, die zu einer Mikroangiopathie der hirnversorgenden Blutgefäße führt. Wichtiges Frühsymptom von CADASIL sind migräneartige Kopfschmerzen, die durch die charakteristischen Gefäßveränderungen ausgelöst werden. In der radiologischen Bildgebung beobachtet man einen nachweisbaren subcorticalen Befall mit frontaler Betonung. CADASIL zählt zu den seltenen Krankheiten, ist aber mit etwa fünf Erkrankungen pro 100.000 Menschen die häufigste monogen vererbte Schlaganfallerkrankung.

Diagnostik

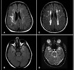
Axiale FLAIR (A, B, C) und T2-gewichtete Magnetresonanztomographien von CADASIL-Patienten. A und B sind asymptomatische Patienten mit Depression. In B sind Läsionen des Temporallappens nachweisbar. In A und D finden sich diffuse ischämische Veränderungen der weißen Substanz um die Hirnventrikel (periventrikulär) sowie multiple kleine Infarkte (Status lacunaris) in Thalamus, Pons und Basalganglien.

Trotz der Kopfschmerzen (oft mit neurologischen Symptomen im Sinne einer Aura) wird die Diagnose zuerst meist infolge eines Schlaganfalls gestellt. Dies liegt auch daran, dass bis zu 20 % der Bevölkerung migräneartige Kopfschmerzen haben, während die CADASIL eine sehr seltene Erkrankung ist. Wegen des autosomal-dominanten Erbganges könnten die Kinder dann entsprechend früher untersucht werden. Bei entsprechendem Verdacht kann der Gendefekt molekulargenetisch nachgewiesen werden. Schließlich ergeben sich bei elektronenmikroskopischer Untersuchung einer Hautbiopsie wegweisende Befunde an den Muskelzellen der Gefäßwände.

Bildgebende Verfahren

In der Magnetresonanztomographie des Gehirns finden sich in T2-gewichteten Aufnahmen Signalverstärkungen in der weißen Substanz, typischerweise insbesondere auch temporal.

Pathologie

Bei der feingeweblichen Untersuchung findet sich eine Einlagerung transparenter Substanzen (Hyalinose) in den Wänden kleiner und mittelgroßer Arterien, Arteriolen und Kapillaren. Es kommt zur Fragmentierung (Zerstückelung) und Degeneration der glatten Gefäßmuskelzellen. Bei der elektronenmikroskopischen Untersuchung finden sich in der Nachbarschaft der betroffenen Gefäßmuskelzellen körnelige (granuläre) Ablagerungen, die mit Osmiumtetroxid angefärbt werden können (osmiophiles Material). Durch immunhistochemische Untersuchung sind in den osmiophilen Ablagerungen Komponenten des NOTCH3-Proteins nachweisbar.

Genetische Untersuchung

Die Erkrankung wird durch eine missense-Mutation des NOTCH3-Gens hervorgerufen. Das NOTCH3-Protein ist ein aus zwei unterschiedlichen Untereinheiten bestehender (=heterodimerer) Membranrezeptor, der ausschließlich von glatten Gefäßmuskelzellen exprimiert wird. NOTCH3 gehört zur NOTCH-Genfamilie. Die NOTCH-Gene kodieren für hochgradig konservierte Membranrezeptoren, die an der Kontrolle des Zellschicksals, insbesondere bei der Entwicklung des Blutgefäßsystems, beteiligt sind. NOTCH3 ist an der Zell-Zell-Interaktion, Kontrolle von Zellwachstum und -differenzierung sowie am programmierten Zelltod (Apoptose) beteiligt. Bei Patienten mit CADASIL findet sich eine Addition oder ein Verlust von Cystein im Bereich der extrazellulären Domäne des NOTCH3-Proteins.

Verlauf

Über zumeist Jahre kommt es zu wiederholten kleinen Schlaganfällen, die die weiße Substanz (Marklager) des Großhirns betreffen. Dies führt letztlich zu einer Demenz, also einem Verfall der geistigen Leistung. Das klinische Bild erinnert an eine subkortikale arteriosklerotische Enzephalopathie (Binswangersche Erkrankung), allerdings fehlt bei der CADASIL der Bluthochdruck. Ansonsten sind alle Symptome kleinerer Schlaganfälle (sogenannte lakunäre Syndrome) anzutreffen. Der Verlauf ist dabei sehr variabel und auch innerhalb einer Familie finden sich sehr unterschiedliche Verläufe. Hinsichtlich der Lebenserwartung besteht, zumindest für Frauen, keine signifikante Einschränkung gegenüber Gesunden. Manche Mutationsträger sind sogar symptomfrei bis ins hohe Lebensalter.

Die folgende, von Verin et al. postulierte Einteilung in Stadien (die in der klinischen Praxis keine Anwendung findet) ist daher nur als ein möglicher Ablauf der Erkrankung zu verstehen:

I. Stadium (20.–40. Lebensjahr)
* häufige migräneartige Episoden
* Auffälligkeiten im MRT
II. Stadium (40.–60. Lebensjahr)
* wiederkehrende schlaganfallartige Episoden
* psychiatrische Auffälligkeiten
* zunehmende Schädigungen von Marklager und Basalganglien
III. Stadium (60.–80. Lebensjahr)
* Demenz
* Bewegungsstörung Spastik,
* Pseudobulbärparalyse
IV. Endstadium:
* Wachkoma mit Erfordernis einer künstlichen Ernährung (PEG)

Weitere Organmanifestationen

Da Arteriolen in allen Organen betroffen sein können, finden sich weitere Organmanifestationen:

  • Im Bereich der Augen finden sich häufig asymptomatische Veränderungen der Netzhaut: Verengungen von Arterien und Venen, vermehrte Gefäßreflexe, gestreckter Verlauf der Arteriolen.
  • Im Bereich der Hautgefäße finden sich ebenfalls Veränderungen, die eine Diagnose mittels Hautbiopsie ermöglichen.
  • Selten ist eine Beteiligung der Nieren mit chronischer Nierenfunktionseinschränkung, milder Proteinurie und Mikrohämaturie. Bei der feingeweblichen Untersuchung finden sich auch in der Niere die typischen Gefäßveränderungen mit granulären osmiophilen Ablagerungen.

Differentialdiagnose

Andere Erkrankungen der weißen Gehirnsubstanz (Leukenzephalopathien) sind wichtige Differentialdiagnosen zu CADASIL. Hierzu zählen beispielsweise entzündliche (z. B. Multiple Sklerose, ZNS-Vaskulitis) und metabolische (z. B. Morbus Fabry) Erkrankungen des Erwachsenenalters. Die häufigen Leukodystrophien (z. B. metachromatische Leukodystrophie) treten eher im Kindesalter auf und stellen daher meist keine relevante Differentialdiagnose dar. CARASIL unterscheidet sich hauptsächlich durch schwereren Verlauf und die rezessive Vererbung.

Therapie

Eine wirksame Behandlung ist nicht bekannt. Zur Vorbeugung gegen Schlaganfälle wird neben ASS eine Minimierung des sonstigen Risikoprofiles (etwa Blutdruck, Blutzucker, Blutfette) angeraten. Letztlich kann dies die Krankheit aber nicht aufhalten. Dies relativiert auch den Bedarf an einer frühen Feststellung der Diagnose. Eine frühzeitige Patientenverfügung ist für den Fall des Stadiums IV zu empfehlen.

Bekanntheit

Der berühmte Komponist Felix Mendelssohn Bartholdy und seine Schwester Fanny Hensel waren höchstwahrscheinlich an CADASIL erkrankt, und beide starben im selben Jahr an einem Schlaganfall. Auch der deutsche Philosoph Friedrich Nietzsche litt nach neueren Untersuchungen u. U. unter einer CADASIL-Erkrankung.[1]

Christoff Kessler, anerkannter Spezialist für Hirnerkrankungen, veröffentlichte 2013 mit dem Buch Wahn eine fiktive, jedoch auf Fakten basierende Kurzgeschichte namens Cadasil, die von einem jungen Mann und dessen Umgang mit dieser Diagnose handelt. In dem Film „Das Meer in mir“ aus dem Jahr 2004 leidet die Rechtsanwältin Julia an der Erkrankung. In der Serie „In aller Freundschaft“ Folge 627 vom 10. Dezember 2013 „Süßer die Glocken nie klingen“ leidet die Patientin Petra Klett, gespielt von Marion Kracht, an dieser seltenen Krankheit.

In der Netflix-Produktion „Der Untergang des Hauses Usher“ (im Original The Fall of the House of Usher), eine Horrorserie von Regisseur Mike Flanagan, leidet der Patriarch der Familie Usher, Roderick, an CADASIL. Die Serie greift Motive und Namen aus verschiedenen Veröffentlichungen von Edgar Allan Poe auf.

Quellen

  • A. Joutel et al.: Notch3 mutations in CADASIL, a hereditary adult-onset condition causing stroke and dementia. In: Nature. Band 383, 1996, S. 707–710. PMID 8878478
  • H. Chabriat et al.: Autosomal dominant migraine with MRI white-matter abnormalities mapping to the CADASIL locus. In: Neurology. Band 45, 1995, S. 1086–1091. PMID 7783868
  • M. Verin et al.: New phenotype of the cerebral autosomal dominant arteriopathy mapped to chromosome 19: migraine as the prominent clinical feature. In: Journal of Neurology, Neurosurgery, and Psychiatry. Band 59, 1995, S. 579–585. PMID 7500094
  • C. Opherk et al.: Long-term prognosis and causes of death in CADASIL: a retrospective study in 411 patients. In: Brain. Band 127, 2004, S. 2533–2539. PMID 15364702
  • M. Dichgans et al.: The phenotypic spectrum of CADASIL: clinical findings in 102 cases. In: Annals of Neurology. Band 44, 1998, S. 731–739. PMID 9818928
  • D. Guerrot et al.: Nephroangiosclerosis in cerebral autosomal dominant arteriopathy with subcortical infarcts and leukoencephalopathy: is NOTCH3 mutation the common culprit? In: Am J Kidney Dis. Band 52, 2008, S. 340–345. PMID 18572291
  • Hara et al.: Association of HTRA1 mutations and familial ischemic cerebral small-vessel disease. In: N Engl J Med. 2009; 360: S. 1729–1739. PMID 19387015

Einzelnachweise

  1. D. Hemelsoet, K. Hemelsoet, D. Devreese: The neurological illness of Friedrich Nietzsche. In: Acta neurologica Belgica. Band 108, Nummer 1, März 2008, S. 9–16, PMID 18575181.