Beta-Amyloid-assoziierte Angiitis

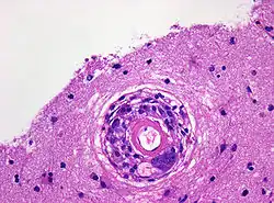
Hirnbiopsie mit Nachweis eines Blutgefäßes mit von Makrophagen und mehrkernigen Riesenzellen durchwanderter Gefäßwand. Hämatoxylin-Eosin-Färbung. Originalvergrößerung 400x

Als Beta-Amyloid-assoziierte Angiitis (englisch: amyloid-beta related angiitis, ABRA) wird eine Entzündung der vom Gehirn versorgenden Blutgefäßen (zerebrale Vaskulitis) mit Ablagerung von Beta-Amyloid bezeichnet. Im Gegensatz zur häufigen zerebralen Amyloidangiopathie handelt es sich um eine sehr seltene Erkrankung: Bisher wurden weniger als 100 Fälle beschrieben.[1]
Das mittlere Alter bei Diagnosestellung beträgt etwa 67 Jahre. Die Erkrankung kann sich mit Wesensänderungen, Kopfschmerzen, Anfallsereignissen oder auch Halluzinationen bemerkbar machen. Während sich in der Kernspintomographie des Schädels lediglich unspezifische Veränderungen im Bereich des Marklagers nachweisen lassen und die Lumbalpunktion allenfalls eine moderate Erhöhung der Zellzahl ergibt, sind in der feingeweblichen Untersuchung von bei einer Biopsie gewonnenen Hirngewebsprobe granulomatöse entzündliche Veränderungen sowie Amyloidablagerungen im Bereich kleiner Blutgefäße nachweisbar. Die Lumina der Blutgefäße sind häufig thrombosiert oder weisen Zeichen einer Rekanalisation auf. Im umgebenden Hirngewebe finden sich ausgeprägte reaktive Veränderungen.
Klinischer Verlauf und Ansprechen auf eine Behandlung mit Immunsuppressiva sind variabel.[2]
Literatur
Einzelnachweise
- ↑ Amick u. a.: Amyloid-beta-related angiitis: a rare cause of recurrent transient neurological symptoms. In: Nat Clin Pract Neurol. 2008; 4, S. 279–283. PMID 18349854
- ↑ Scolding u. a.: Abeta-related angiitis: primary angiitis of the central nervous system associated with cerebral amyloid angiopathy. In: Brain. 2005; 128, S. 500–515. PMID 15659428 Volltext