Arachnoidalzyste
| Klassifikation nach ICD-10 | |
|---|---|
| G93.0 | Hirnzysten – Arachnoidalzyste |
| ICD-10 online (WHO-Version 2019) | |

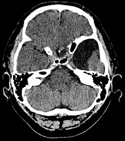
Arachnoidalzysten sind gutartige, zystische (flüssigkeitsgefüllte), zumeist angeborene Erweiterungen der Spinngewebshaut („Arachnoidea“, der mittleren Hirnhaut). Häufig sind sie ein Zufallsbefund bei der Computer- oder Magnetresonanztomographie des Kopfes.[1] Bei 1,7 % von 2536 gesunden männlichen Anwärtern für die deutsche Luftwaffe wurde mindestens eine Arachnoidalzyste diagnostiziert.[2] Eine Behandlung von Arachnoidalzysten ist nur zu erwägen, wenn sie Beschwerden machen, zum Beispiel bei Kompression von angrenzenden Gehirn- oder Rückenmarksanteilen. Arachnoidalzysten sind in der Regel Zufallsbefunde und können vollkommen symptomlos verlaufen, erst wenn es zu einer Kompression kommt, können die Betroffenen Symptome, wie Kopfschmerzen vernehmen. Treten Arachnoidalzysten bereits in der Wachstumsphase auf, können diese zu Schädeldeformationen führen.[3]
Die Einteilung von Arachnoidalzysten erfolgt nach der Klassifikation von Galassi, bei welcher Arachnoidalzysten je nach Größe, Lage und Form in drei verschiedene Grade eingeteilt werden.[4]
Einzelnachweise
- ↑ N. Holsten, T. Liebig. Computertomographie von Kopf und Wirbelsäule. Thieme Verlag 2000, Seite 214, ISBN 3-13-117111-1
- ↑ F. Weber and H. Knopf: Incidental findings in magnetic resonance imaging of the brains of healthy young men. In: J Neurol Sci. 240. Jahrgang, Nr. 1–2, 2005, S. 81–84, PMID 16256141 (jns-journal.com).
- ↑ blikk Radiologie: Blikk Radiologie Fallsammlung: Schädeldeformation durch massive Arachnoidalzyste. Abgerufen am 28. Januar 2021.
- ↑ Galassi Klassifikation. Abgerufen am 4. April 2020 (deutsch).