Anti-Amyloid-Antikörper
Anti-Amyloid-beta-Antikörper, kurz Anti-Amyloid-Antikörper (englisch anti-amyloid antibodies, AAA), sind eine Klasse von Wirkstoffen für die Behandlung der Alzheimer-Krankheit. Es handelt sich um monoklonale Antikörper gegen beta-Amyloid-Ablagerungen, welche in Nervenzellen von Alzheimer-Betroffenen gehäuft auftreten.
Mit der amerikanischen Zulassung von Aducanumab 2021 sind sie die ersten neuen Medikamente gegen die Alzheimer-Krankheit seit 2003. Stand Juli 2025 ist in der Europäischen Union ein AAA (Lecanemab) zugelassen. Klinischer Nutzen, Risiken und Kosten der Therapien sind umstritten.
Wirkmechanismus
Die Alzheimer-Krankheit ist eine Erkrankung des Gehirns, die durch eine fortschreitende Demenz mit Gedächtnisstörungen charakterisiert ist. Das Symptombild umfasst Einbußen der kognitiven, emotionalen und sozialen Fähigkeiten. Vor allem sind das Kurzzeitgedächtnis, das Denkvermögen, die Sprache und die Motorik betroffen; bei einigen Formen kommt es auch zu Veränderungen der Persönlichkeit. 2010 gab es etwa weltweit etwa 50 Millionen Demenzerkrankte, bis 2050 soll sich diese Zahl mehr als verdoppeln.[1]

Die Mechanismen der Krankheit sind nicht vollständig verstanden. Der therapeutische Ansatz von Anti-Amyloid-Antikörpern basiert auf der Amyloid-Hypothese: Laut dieser geht die Krankheit von einzelnen Aβ-Proteinen (Aβ-Monomere) aus, welche sich über Zwischenstufen zu Aβ-Plaques zusammenlagern. Dies soll den Anstoß für eine Kette von Veränderungen geben, an deren Ende der Untergang von Nervenzellen steht, wodurch die Symptome verursacht werden. Die Bildung von Plaques erfolgt dabei schrittweise: Aβ-Monomere lagern sich zusammen und bilden Aβ-Oligomere, diese verklumpen über Protofibrillen und Fibrillen letztlich zu Aβ-Plaques.[1] Diese Aggregate lassen sich 10 bis 20 Jahre vor den ersten Symptomen bildgebend darstellen, andere Veränderungen wie die Bildung von neurofibrillären Tangles aus Tau-Proteinen können wenige Jahre vorher nachgewiesen werden.[2] Die Hypothese ist in Details und auch grundsätzlich[3] umstritten.[1]
Anti-Amyloid-Antikörper binden an bestimmte Stellen (Epitope) der Aβ-Spezies, um diese für Mikroglia erkennbar zu machen. Diese Immunzellen können die markierten Ziele anschließend abbauen (Phagozytose). Die Affinität zu den verschiedenen Aβ-Spezies unterscheidet sich dabei zwischen Wirkstoffen, möglicherweise wird zudem die Phagozytose von nichtmarkierten Aβ- und/oder Tau-Spezies eingeleitet.[4] Alle bis einschließlich 2024 zugelassenen Wirkstoffe (Aducanumab, Lecanemab, Donanemab) zielen auf Protofibrillen und größere Aβ-Spezies und reduzieren Plaques deutlich, teils unter die Nachweisgrenze.[5]
Nebenwirkungen
Die beschriebenen unerwünschten Arzneimittelwirkungen basieren auf klinischen Studien im Rahmen der Zulassung. Langfristige Daten liegen aufgrund der Neuheit der Medikamente nicht vor.[3]
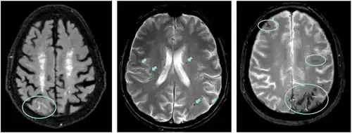
Amyloid-assoziierte Bildgebungsanomalien

Mitte: ARIA-H (Mikroblutungen; T2*-Wichtung)
Rechts: ARIA-H (oberflächliche Hämosiderinablagerungen; T2*-Wichtung)
Amyloid-assoziierte Bildgebungsanomalien (ARIA) sind Unregelmäßigkeiten auf MRT-Bildern des Gehirns, die vor allem bei Einleitung oder Umstellung einer Therapie mit Anti-Amyloid-Antikörpern auftreten. Die Unterform ARIA-H repräsentiert kleine Blutaustritte, ARIA-E Flüssigkeitsansammlungen. Die Entstehung ist nicht vollständig verstanden, vermutlich kommt es durch einen Entzündungsprozess in den Blutgefäßen des Gehirns zu Schäden an den Gefäßwänden. Besonders häufig treten ARIA bei höheren Dosierungen und Menschen mit zwei Kopien der ApoE4-Variante oder Amyloid-Ablagerungen in den Blutgefäßen (zerebrale Amyloid-Angiopathie) auf. Meist handelt es sich um Zufallsbefunde, die keine Symptome verursachen, insbesondere ARIA-E kann durch die Schwellung jedoch zu Kopfschmerzen, Übelkeit und Verwirrungszuständen führen und einen Abbruch der Therapie erzwingen.[6]
Reduktion des Hirnvolumens
Im Rahmen der Alzheimer-Erkrankung schrumpft das Gehirn. Dieser Effekt wird durch Anti-Amyloid-Antikörper nicht verlangsamt und teilweise auch beschleunigt, insbesondere wenn ARIA auftreten. Ob und welchen Einfluss diese Veränderungen auf die Symptomatik haben ist nicht bekannt.[4][7]
Effektivität
Die Wirksamkeit der Medikamente kann nach unterschiedlichen Aspekten bewertet werden, wobei das übergeordnete Ziel die Verbesserung der Lebensqualität der Betroffenen ist. Dabei kann der Fortschritt der Symptomatik klinisch beurteilt werden oder Biomarker als Stellvertreter für den Krankheitsprozess herangezogen werden.[5]
Klinische Effektivität
Zur klinischen Beurteilung ist in Studien unter anderem die Alzheimer's Disease Assessment Scale-Cognitive Subscale (ADAS-Cog) verbreitet, bei der die kognitive Leistung anhand verschiedener Testungen beurteilt wird, sowie das Clinical dementia rating–sum of boxes (CDR-SB), welches zusätzlich psychosoziale Faktoren berücksichtigt. Geringe Unterschiede auf diesen Punkteskalen sind für Betroffene und ihr Umfeld in der Regel nicht wahrnehmbar, sodass Veränderungen unter dieser Schwelle (englisch minimal clinically important difference, MCID, ‚kleinster klinisch relevanter Unterschied‘) nicht als erfolgreich gewertet werden. Mit Stand 2024 konnte kein Anti-Amyloid-Antikörper, inklusive der zugelassenen Wirkstoffe, einen klinisch relevanten Effekt demonstrieren.[8]
Biomarker
Statt der klinischen Beurteilung können gegebenenfalls auch bestimmte Biomarker als Stellvertreter herangezogen werden. Diese können den diagnostischen Aufwand reduzieren, ermöglichen eine Quantifizier- und Objektivierbarkeit von Befunden und die mögliche Abbildung von krankhaften Veränderungen lange bevor Symptome auftreten. Sie können auch bei der Identifikation von verschiedenen Unterarten von Krankheiten sowie der Einteilung in Stadien hilfreich sein. Fallstricke sind die prinzipbedingt vereinfachte Betrachtung des Krankheitsprozesses, die notwendige Reproduzierbarkeit und der Bedarf an longitudinalen Daten zur Überprüfung der langfristigen Aussagekraft.[9]
Mittels Positronen-Emissions-Tomographie (PET) kann die Menge von Aβ-Plaques und neurofibrillären Tangles im Gehirn gemessen werden. Labormedizinische Verfahren zur Messung von Aβ-Spezies, Tauproteinen und weiteren Markern im Blut oder dem Liquor cerebrospinalis befinden sich in der Entwicklung, einzelne sind in den USA bereits zugelassen.[2]
Geschichte
Bis 2021 standen für die demenzspezifische medikamentöse Therapie der Alzheimer-Krankheit nur Hemmstoffe der Acetylcholinesterase und des NMDA-Rezeptors zur Verfügung, welche das Fortschreiten der Symptome um etwa sechs Monate verzögern können, ohne jedoch die Ursache der Krankheit zu bekämpfen.[1] Seit der Zulassung Memantins 2003 wurden trotz Fortschritten beim Verständnis der Krankheit keine zusätzlichen Wirkstoffe verfügbar.[10]
Impfung und erste Generation
Seit Etablierung der Amyloidhypothese in den 1990er Jahren ist sie die Grundlage für den Großteil der Forschung nach Medikamenten, die die Ursache der Krankheit bekämpfen sollen (englisch disease modifying drug, DMD).[3] Ab der Jahrtausendwende wurden diverse Wirkstoffe untersucht, die über verschiedene Wirkmechanismen Aβ-Plaques reduzieren sollten.[1] 1999 konnte AN1792 erstmals durch eine aktive Immunisierung (Impfung) Aβ-Plaques im Mausmodell erfolgreich verringern. In 2001 begonnenen Versuchen am Menschen zeigte sich eine Reduktion von Aβ-Plaques und Tau-Protein in Nervenzellen. Ein klinischer Nutzen, der Voraussetzung für eine Zulassung gewesen wäre, blieb aus. In der Studie trat zudem eine hohe Rate von Entzündungen des Gehirns und der Hirnhäute (Meningoenzephalitis) durch autoimmune T-Lymphozyten auf, eine schwere und teilweise tödliche Nebenwirkung.[4][5]
Das Versagen der aktiven Immunisierung bewirkte ein Umschwenken der Forschung auf Formen der passiven Immunisierung, insbesondere monoklonale Antikörper.[5] Dass diese grundsätzlich die Blut-Hirn-Schranke passieren und Mikroglia aktivieren können wurde 2000 im Mausmodell gezeigt.[11] Die erste klinische Studie von Anti-Amyloid-Antikörpern begann 2006 mit Bapineuzumab, im Rahmen dieser Studien wurden auch erstmals amyloid-assoziierte Bildgebungsanomalien dokumentiert. Wie das ab 2011 am Menschen getestete Solanezumab sollte es durch die Reduktion von monomerem Aβ in der Peripherie den Abfluss von beta-Amyloid aus Nervenzellen fördern. Ab 2016 wurde das auf Aβ-Plaques zielende Gantenerumab getestet. Keiner der Wirkstoffe konnte einen klinischen Nutzen demonstrieren.[4][5]
Zweite Generation
Aufgrund von Erfahrungen mit der ersten Generation wurden spätere Antikörper vier- bis fünfmal so hoch dosiert und zielten auf größere Aβ-Spezies, wodurch ein geringerer Wirkstoffanteil an die vergleichsweise häufigen Monomere band. In der Beurteilung der Effektivität wurden neben klinischen Faktoren auch biologische Marker wie die bildgebende Messung von Aβ-Plaques im Gehirn mittels PET-CT und die Spiegel monomerem Aβs im Blut oder des Liquors mit einbezogen.[4][5]
2021 wurde Aducanumab als erster Anti-Amyloid-Antikörper durch die amerikanische Food and Drug Administration (FDA) im Rahmen eines beschleunigten Zulassungsverfahrens vorläufig zugelassen. Diese Entscheidung basierte auf der bildgebend dargestellten Reduktion von Aβ-Plaques, ein klinischer Nutzen wurde nicht demonstriert. Sie war unter anderem aufgrund der angesetzten Kriterien und der hohen Behandlungskosten hochumstritten. Medicare verweigerte die Finanzierung, in Europa wurde das Medikament nicht zugelassen. 2024 wurde die Vermarktung und Entwicklung des Medikaments wegen des ausbleibenden kommerziellen Erfolgs weltweit eingestellt.[11] (Siehe auch: „Entwicklung und Zulassung“ im Artikel Aducanumab)
Lecanemab und Donanemab konnten in Zulassungsstudien neben bildgebenden Veränderungen eine Verlangsamung des Krankheitsfortschritts bei manchen Betroffenen in frühen Stadien demonstrieren. Die FDA ließ die Arzneimittel 2023 bzw. 2024 uneingeschränkt zu.[11] Für den Europäischen Wirtschaftsraum wurde Lecanemab im April 2025 zugelassen und Donanemab im Juli 2025 zur Zulassung empfohlen - beide mit der Einschränkung, dass nur Alzheimer-Patienten behandelt werden, bei denen kein oder nur ein Allel von Apolipoprotein Eε4 (ApoE4) vorliegt.[12][13] Dadurch soll das Risiko für ein Auftreten von Amyloid-assoziierten Bildgebungsanomalien gemindert werden.
Kontroverse
Die Verwendung der Wirkstoffe wird kontrovers diskutiert, insbesondere vor dem Hintergrund der möglichen finanziellen und organisatorischen Belastung der Gesundheitssysteme, der fehlenden klinischen Effektivität und der Nebenwirkungen. Die drei in den USA zugelassenen Wirkstoffe kosten umgerechnet über 25.000 € pro Behandlungsjahr (2024), hinzu kommen weitere Aufwendungen wie die regelmäßige Bildgebung.[8] Für jedes im Vergleich zur symptomatischen Behandlung gewonnenem Qualitätskorrigiertem Lebensjahr werden bei Lecanemab Zusatzkosten von etwa 250.000 USD geschätzt.[14]
Die beiden im Vereinigten Königreich zugelassenen Wirkstoffe Lecanemab und Donanemab werden aufgrund des schlechten Kosten-Nutzen-Verhältnisses nicht vom staatlichen Gesundheitssystem NHS übernommen.[15]
Wirkstoffe
Die internationalen Freinamen der Wirkstoffe folgen der Nomenklatur der monoklonalen Antikörper.
| Freiname | Unternehmen | Vorrangige Aβ-Ziele | Zulassung | Anmerkungen | |
|---|---|---|---|---|---|
| USA | EWR | ||||
| Aducanumab | Biogen | Fibrillen[5] | 2021 | zurückgezogen | Vermarktung 2024 weltweit eingestellt[11] |
| Bapineuzumab | Elan, Wyeth | Monomere[5] | In Phase III wegen fehlenden Nutzens abgebrochen (2012) | ||
| Crenezumab | Genentech, Roche | Monomere, Oligomere[4] | |||
| Donanemab | Eli Lilly | Plaques, pGlu-Aβ[5] | 2024 | laufend | Im Juli 2025 in der EU zur Zulassung empfohlen[13] |
| Gantenerumab | Chugai, Roche | Plaques[4] | In Phase III wegen fehlenden Nutzens abgebrochen[4] | ||
| Lecanemab | Biogen, Eisai | Protofibrillen, Oligomere[5] | 2023 | 2025[16] | |
| Ponezumab | Pfizer | Monomere[17] | |||
| Remternetug | Eli Lilly | Plaques, pGlu-Aβ[4] | |||
| Sabirnetug | Acumen | Oligomere[18] | |||
| Solanezumab | Eli Lilly | Monomere[5] | In Phase III wegen fehlenden Nutzens abgebrochen[19] | ||
Einzelnachweise
- ↑ a b c d e David S. Knopman, Helene Amieva, Ronald C. Petersen, Gäel Chételat, David M. Holtzman, Bradley T. Hyman, Ralph A. Nixon, David T. Jones: Alzheimer disease. In: Nature Reviews Disease Primers. Band 7, Nr. 1, 13. Mai 2021, ISSN 2056-676X, doi:10.1038/s41572-021-00269-y, PMID 33986301, PMC 8574196 (freier Volltext).
- ↑ a b Wade K. Self, David M. Holtzman: Emerging diagnostics and therapeutics for Alzheimer disease. In: Nature Medicine. Band 29, Nr. 9, September 2023, ISSN 1078-8956, S. 2187–2199, doi:10.1038/s41591-023-02505-2.
- ↑ a b c Kasper P Kepp, Nikolaos K Robakis, Poul F Høilund-Carlsen, Stefano L Sensi, Bryce Vissel: The amyloid cascade hypothesis: an updated critical review. In: Brain. Band 146, Nr. 10, 3. Oktober 2023, ISSN 0006-8950, S. 3969–3990, doi:10.1093/brain/awad159.
- ↑ a b c d e f g h i Jeffrey Cummings, Amanda M. Leisgang Osse, Davis Cammann et al.: Anti-Amyloid Monoclonal Antibodies for the Treatment of Alzheimer’s Disease. In: BioDrugs. Band 38, Nr. 1, Januar 2024, ISSN 1173-8804, S. 5–22, doi:10.1007/s40259-023-00633-2, PMID 37955845, PMC 10789674 (freier Volltext).
- ↑ a b c d e f g h i j k Michael T. Heneka, David Morgan, Frank Jessen: Passive anti-amyloid β immunotherapy in Alzheimer's disease—opportunities and challenges. In: The Lancet. Band 404, Nr. 10468, 30. November 2024, ISSN 0140-6736, S. 2198–2208, doi:10.1016/S0140-6736(24)01883-X, PMID 39549715.
- ↑ Harald Hampel, Aya Elhage, Min Cho et al.: Amyloid-related imaging abnormalities (ARIA): radiological, biological and clinical characteristics. In: Brain. Band 146, Nr. 11, 2. November 2023, ISSN 0006-8950, S. 4414–4424, doi:10.1093/brain/awad188, PMID 37280110, PMC 10629981 (freier Volltext).
- ↑ Francesca Alves, Pawel Kalinowski, Scott Ayton: Accelerated Brain Volume Loss Caused by Anti–β-Amyloid Drugs: A Systematic Review and Meta-analysis. In: Neurology. Band 100, Nr. 20, 16. Mai 2023, ISSN 0028-3878, doi:10.1212/WNL.0000000000207156, PMID 36973044, PMC 10186239 (freier Volltext).
- ↑ a b Mark H. Ebell, Henry C. Barry, Kanishka Baduni, Gabrielle Grasso: Clinically Important Benefits and Harms of Monoclonal Antibodies Targeting Amyloid for the Treatment of Alzheimer Disease: A Systematic Review and Meta-Analysis. In: The Annals of Family Medicine. Band 22, Nr. 1, 1. Januar 2024, ISSN 1544-1709, S. 50–62, doi:10.1370/afm.3050, PMID 38253509, PMC 11233076 (freier Volltext).
- ↑ Joseph Therriault, Suzanne E. Schindler, Gemma Salvadó et al.: Biomarker-based staging of Alzheimer disease: rationale and clinical applications. In: Nature Reviews Neurology. Band 20, Nr. 4, April 2024, ISSN 1759-4758, S. 232–244, doi:10.1038/s41582-024-00942-2.
- ↑ Angela C. Bradshaw, J. Georges: Anti-Amyloid Therapies for Alzheimer's Disease: An Alzheimer Europe Position Paper and Call to Action. In: The Journal of Prevention of Alzheimer's Disease. Band 11, Nr. 2, März 2024, S. 265–273, doi:10.14283/jpad.2024.37.
- ↑ a b c d Michael Eisenstein: 2021: Anti-amyloid antibodies take a bumpy road to the clinic. In: Nature. 26. September 2024 (nature.com [abgerufen am 4. Februar 2025]).
- ↑ Leqembi | European Medicines Agency (EMA). In: ema.europa.eu. 5. Mai 2025, abgerufen am 28. Juli 2025 (englisch).
- ↑ a b Kisunla, europäische Arzneimittelagentur, 25. Juli 2025
- ↑ Lin GA, Whittington MD, Wright A, Agboola F, Herron-Smith S, Pearson SD, Rind DM: Beta-Amyloid Antibodies for Early Alzheimer’s Disease: Effectiveness and Value; Evidence Report. Institute for Clinical and Economic Review, 17. April 2023 (icer.org [PDF; 4,7 MB]).
- ↑ NICE rejects second Alzheimer's disease treatment for NHS use - The Pharmaceutical Journal. In: pharmaceutical-journal.com. 24. Oktober 2024, abgerufen am 4. Februar 2025 (englisch).
- ↑ EU/1/24/1891. In: ec.europa.eu. 15. April 2025, abgerufen am 28. Juli 2025 (englisch).
- ↑ Jaren W. Landen, Niels Andreasen, Carol L. Cronenberger et al.: Ponezumab in mild‐to‐moderate Alzheimer's disease: Randomized phase II PET‐PIB study. In: Alzheimer's & Dementia: Translational Research & Clinical Interventions. Band 3, Nr. 3, September 2017, ISSN 2352-8737, S. 393–401, doi:10.1016/j.trci.2017.05.003, PMID 29067345, PMC 5651442 (freier Volltext).
- ↑ Eric Siemers et al.: INTERCEPT-AD, a phase 1 study of intravenous sabirnetug in participants with mild cognitive impairment or mild dementia due to Alzheimer's disease. In: The Journal of Prevention of Alzheimer's Disease. Band 12, Nr. 1, 1. Januar 2025, ISSN 2274-5807, S. 100005, doi:10.1016/j.tjpad.2024.100005.
- ↑ Alzheimer-Therapie: Antidementiva scheitern reihenweise. In: Deutsches Ärzteblatt. 2. Februar 2018, abgerufen am 24. August 2024.