Angiomyolipom

Klassifikation nach ICD-10
D30 Gutartige Neubildung der Harnorgane
D30.0 - Niere
{{{03-BEZEICHNUNG}}}
{{{04-BEZEICHNUNG}}}
{{{05-BEZEICHNUNG}}}
{{{06-BEZEICHNUNG}}}
{{{07-BEZEICHNUNG}}}
{{{08-BEZEICHNUNG}}}
{{{09-BEZEICHNUNG}}}
{{{10-BEZEICHNUNG}}}
{{{11-BEZEICHNUNG}}}
{{{12-BEZEICHNUNG}}}
{{{13-BEZEICHNUNG}}}
{{{14-BEZEICHNUNG}}}
{{{15-BEZEICHNUNG}}}
{{{16-BEZEICHNUNG}}}
{{{17-BEZEICHNUNG}}}
{{{18-BEZEICHNUNG}}}
{{{19-BEZEICHNUNG}}}
{{{20-BEZEICHNUNG}}}
Vorlage:Infobox ICD/Wartung {{{21BEZEICHNUNG}}}
ICD-10 online (WHO-Version 2019)

Beim Angiomyolipom handelt es sich um einen seltenen, gutartigen Tumor der Niere, der einen hohen Anteil an Fettgewebe aufweist.

Sie treten zumeist bei Frauen im Alter zwischen 40 und 60 Jahren auf. In 80 % der Fälle handelt es sich um asymptomatische Angiomyolipome in beiden Nieren, das heißt, sie verursachen keine Beschwerden. Bei diesen Patienten findet sich eine gleiche Verteilung zwischen Männern und Frauen. Der Altersgipfel in diesem Patientenkollektiv liegt bei 30 Lebensjahren. Bei einem Teil der Patienten ist das Angiomyolipom mit der tuberösen Sklerose (Morbus Bourneville-Pringle) vergesellschaftet.

Pathologie

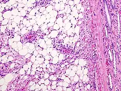
Angiomyolipom (HE-Färbung), links die Fettzellen, rechts die atypischen Blutgefäße

Das Angiomyolipom geht von den perivaskulären Epitheloidzellen aus, deren Wachstum wahrscheinlich hormonabhängig gesteuert ist. Das Angiomyolipom metastasiert nicht, kann aber in 30 % der Fälle in das die Niere umgebende Fettgewebe, Nierenbecken und sogar in die Nierenvenen einwachsen. Der Tumor macht 1 % aller Operationsbefunde aus. Das Angiomyolipom ist zu 20 % mit einer tuberösen Sklerose assoziiert.

Makroskopisch handelt es sich um unbekapselte grau-gelbe Läsionen, die rund bis oval sein können. Teilweise weist das Angiomyolipom ein multizentrisches Wachstum auf. Es kann gelegentlich zu einer Beteiligung der Lymphknoten kommen.

Mikroskopisch sind reife Fettzellen und glatte Muskelzellen nachweisbar. Die Muskelzellen können zahlreiche Mitosen aufweisen, daher kann der Tumor als Sarkom fehlgedeutet werden. Zusätzlich finden sich atypische Blutgefäße.

Diagnose und Therapie

Angiomyolipome an beiden Nieren (Pfeile) in der Computertomographie. Die Tumoren sind wegen ihres Fettgehaltes hypodens (dunkel).
Angiomyolipom der Niere in der Sonographie. Der Tumor ist echoreich (hell).

Die Symptome sind unspezifisch, es treten gegebenenfalls Flankenschmerzen auf. Daher können bildgebende Verfahren einen möglichen Diagnosehinweis geben (siehe unten). Eine potentiell lebensbedrohliche Komplikation des Angiomyolipoms ist eine Blutung durch spontane Ruptur in das Retroperitoneum (Wunderlich-Syndrom). Durch eine Schwangerschaft kann das Risiko der Ruptur verstärkt werden.

Diagnose

Bildgebende Verfahren:

  • Im Ultraschall finden sich durch den Fettgehalt stark echogene Raumforderungen in der Niere.
  • Die Darstellung der Blutgefäße ist nicht hilfreich für die Differentialdiagnose, da beim Angiomyolipom ähnlich wie beim Nierenzellkarzinom Gefäßneubildungen vorkommen.
  • In der Computertomographie zeigt sich eine durch den hohen Fettgehalt bedingte hypodense Raumforderung in der Niere mit −20 bis −80 Hounsfield-Einheiten. Dies ermöglicht eine Abgrenzung zum Nierenzellkarzinom. Bei den Angiomyolipomen kommen Verkalkungen nicht vor.
  • Bei der MRT spricht der Nachweis eines hohen Fettgehaltes für ein Angiomyolipom und nicht für das Nierenzellkarzinom.

Therapie

Wenn das Angiomyolipom größer als 4 cm ist, bei starker Symptomatik oder bei Tumoren unklarer Dignität sollte eine Teilentfernung (Resektion) der Niere angestrebt werden.

Die selektive Embolisierung stellt eine mögliche minimal-invasive Therapieoption dar. Es können bei dieser Technik allerdings Rezidive entstehen und es kann eine Drainage des nekrotischen Gewebes notwendig sein.

Quellen

Literatur

  • Riede/Schäfer Pathologie ISBN 3-13-683303-1
Commons: Angiomyolipome der Niere – Sammlung von Bildern, Videos und Audiodateien