Alphatotivirineae

Alphatotivirineae

Virion der Familie Orthototiviridae, Schema-
zeichnung (Querschnitt u. Seitenansicht)

Systematik
Klassifikation: Viren
Realm: Riboviria[2]
Reich: Orthornavirae[1]
Phylum: Duplornaviricota[1]
Klasse: Chrymotiviricetes[1]
Ordnung: Ghabrivirales[1]
Unterordnung: Alphatotivirineae
Taxonomische Merkmale
Genom: dsRNA
Baltimore: Gruppe 3
Symmetrie: ikosaedrisch
Hülle: unbehüllt
Wissenschaftlicher Name
Alphatotivirineae
Links
ICTV Taxon History: 202315136
NCBI Taxonomy: 11006
ViralZone (Expasy, SIB): 161

Alphatotivirineae ist eine im Frühjahr 2024 eingerichtete Unterordnung von RNA-Viren mit doppelsträngigem RNA-Genom. Sie entspricht im Umfang im Wesentlichen der früheren Familie Totiviridae – einige Gattungen wurden jedoch abgetrennt und den Schwester-Unterfamilien Betatotivirineae und Gammatotivirineae zugeordnet.

Eigenschaften

Die Viruspartikel (Virionen) der Alphatotivirineae (bzw. der früheren Totiviridae) besitzen ein ikosaedrisches Kapsid ohne Virushülle von etwa 36 bis 40 nm Durchmesser mit einer Triangulationszahl von eins an der inneren Kapsidschicht und dreizehn an der äußeren.[3]

Genomkarte der Alphatotivirineae (ehem. Totiviridae)

Die Genome der Alphatotiviren lassen sich in zwei Typen einteilen: mit überlappenden Genen oder ohne Überlappung.[4] Das Genom besteht aus einer linearen doppelsträngigen RNA von 4,6 bis 6,7 kbp (Kilobasenpaaren) mit zwei offenen Leserastern (gag und pol), die unter der Kontrolle eines RNA-Pseudoknotens hergestellt werden.[4] Im ersten Typ werden die Proteine als Fusionsprotein aus beiden etwa 210 Basenpaare überlappenden Genen über eine + 1 oder - 1 Leserasterverschiebung hergestellt, während im zweiten Typ die Gene nicht überlappen und einzeln translatiert werden.[4] Das Gag-Protein ist das Kapsidprotein und das Pol-Protein ist eine RNA-Polymerase von etwa 190 Kilodalton.[3] Das Kapsid besteht aus dem Gag-Protein von etwa 100 Kilodalton, welches nach Acetylierung des N-Terminus zunächst asymmetrische Dimere bildet.[3][4] Die zusammengelagerten Kapsidproteine binden die RNA-abhängige RNA-Polymerase Pol, welche wiederum die RNA bindet, wodurch sich ein neugebildetes Virion zusammenfügt.[4] Manche Totiviren besitzen ein drittes offenes Leseraster. Totiviren sind vermutlich unabhängig von anderen RNA-Viren mit doppelsträngigem Genom aus RNA-Viren mit einzelsträngigem Genom positiver Polarität entstanden (s. u.).[3]

Systematik

Innere Systematik

Die folgende Gliederung folgt den Vorgaben des International Committee on Taxonomy of Viruses (ICTV) mit Stand Mai/Juni 2024:[5][6]

Ordnung Ghabrivirales

  • Unterordnung Alphatotivirineae
    • Familie Botybirnaviridae
      • Gattung Botybirnavirus (9 Spezies)
    • Familie Chrysoviridae
      • Gattung Alphachrysovirus (20 Spezies)
      • Gattung Betachrysovirus (11 Spezies)
    • Familie Fusagraviridae
      • Gattung Fusagravirus (20 Spezies)
    • Familie Megabirnaviridae
      • Gattung Megabirnavirus (5 Spezies)
    • Familie Monocitiviridae
      • Gattung Monocitivirus (1 Spezies)
        • Spezies Monocitivirus ichi mit Ustilago maydis virus H1 (UmVH1)
    • Familie Orthototiviridae
      • Replikationszyklus von Saccharomyces cerevisiae virus L-A (ScVLA, Totivirus ichi)
        Gattung Totivirus (32 Spezies)
      • Gattung Totivirus go mit Xanthophyllomyces dendrorhous virus L1B (XdVL1B)
      • Gattung Totivirus hachi mit Red clover powdery mildew-associated totivirus 1 (RPaTV1a)
      • Gattung Totivirus ichi (ehem. Typus) mit Saccharomyces cerevisiae virus L-A (ScVLA)
      • Gattung Totivirus jyu mit Red clover powdery mildew-associated totivirus 3 (RPaTV3)
      • Gattung Totivirus jyugo mit Hubei toti-like virus 2 (HTLV2)
      • Gattung Totivirus jyuhachi mit Wuhan insect virus 26 (WhIV26)
      • Gattung Totivirus jyuichi mit Red clover powdery mildew-associated totivirus 5 (RPaTV5)
      • Gattung Totivirus jyukyu mit Maize associated totivirus (MATV)
      • Gattung Totivirus jyuni mit Red clover powdery mildew-associated totivirus 6 (RPaTV6)
      • Gattung Totivirus jyuroku mit Beihai blue swimmer crab virus 3 (BBSCV3)
      • Gattung Totivirus jyusani mit Red clover powdery mildew-associated totivirus 7 (RPaTV7)
      • Gattung Totivirus jyushi mit Panax notoginseng virus A (PnVA)
      • Gattung Totivirus jyushichi mit Wuhan insect virus 27 (WhIV27)
      • Gattung Totivirus kyu mit Red clover powdery mildew-associated totivirus 2 (RPaTV2)
      • Gattung Totivirus ni mit Saccharomyces cerevisiae virus L-BC (La) alias Saccharomyces cerevisiae virus LBCL (ScVLBC)
      • Gattung Totivirus nijyu mit Cronartium ribicola totivirus 5 (CrTV5)
      • Gattung Totivirus nijyugo mit Rhodosporidiobolus odoratus RNA virus 1 (RoRV1)
      • Gattung Totivirus nijyuhachi mit Torulaspora delbrueckii virus LA (TdVLA)
      • Gattung Totivirus nijyuichi mit Cronartium ribicola totivirus 4 (CrTV4)
      • Gattung Totivirus nijyukyu mit Plasmopara viticola lesion associated toti 1 (PVaToti1)
      • Gattung Totivirus nijyuni mit Cronartium ribicola totivirus 3 (CrTV3)
      • Gattung Totivirus nijyuroku mit Malassezia restricta virus (MrV)
      • Gattung Totivirus nijyusani mit Cronartium ribicola totivirus 2 (CrTV2)
      • Gattung Totivirus nijyushi mit Trichoderma koningiopsis totivirus 1 (TkTV1)
      • Gattung Totivirus nijyushichi mit Malassezia sympodialis mycovirus (MsMV1)
      • Gattung Totivirus roku mit Scheffersomyces segobiensis virus L (SsV1)
      • Gattung Totivirus sani mit Tuber aestivum virus 1 (TaV1)
      • Gattung Totivirus sanjyu mit Plasmopara viticola lesion associated toti 3 (PVaToti3)
      • Gattung Totivirus sanjyuichi mit Conidiobolus heterosporus totivirus 1 (ChTV1)
      • Gattung Totivirus sanjyuni mit Tea-oil camellia-associated totivirus 1 (TOCaTV1)
      • Gattung Totivirus shi mit Xanthophyllomyces dendrorhous virus L1A (XdVL1A)
      • Gattung Totivirus shichi mit Maize-associated totivirus 1 (MATV)
    • Familie Phlegiviridae
      • Gattung Phlegivirus (4 Spezies)
    • Familie Pseudototiviridae
      • Gattung Eimeriavirus (3 Spezies)
      • Gattung Leishmaniavirus (6 Spezies)
        • Spezies Leishmaniavirus ichi (ehem. Typus) mit Leishmania RNA virus 1 (LRV1)
        • Spezies Leishmaniavirus ni mit Leishmania RNA virus 2 (LRV2)
        • Spezies Leishmaniavirus roku mit Blechomonas juanalfonzi LRV4 alias Blechomonas juanalfonzi Leishmaniavirus-like RNA virus 1 (BjuaLRV4)
        • Spezies Leishmaniavirus sani mit Leishmania aethiopica LRV2 alias Leishmania aethiopica RNA virus (LRV2-Lae)
        • Spezies Leishmaniavirus shi mit Blechomonas maslovi LRV3 alias Blechomonas maslovi Leishmaniavirus-like RNA virus 1 (BmasLRV3)
      • Gattung Trichomonasvirus (5 Spezies)
        • Spezies Trichomonasvirus vagiprimus (ehem. Typus) mit Trichomonas vaginalis virus 1 (TVV1)
        • Spezies Trichomonasvirus vagiquartus mit Trichomonas vaginalis virus 4 (TVV4)
        • Spezies Trichomonasvirus vagiquintus mit Trichomonas vaginalis virus 5 (TVV5)
        • Spezies Trichomonasvirus vagisecundus mit Trichomonas vaginalis virus 2 (TVV2)
        • Spezies Trichomonasvirus vagitertius mit Trichomonas vaginalis virus 3 (TVV3)
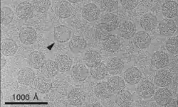
      • Kapsid-Aufbau von Helminthosporium victoriae virus 190S (HvV190S, Victorivirus ichi)
        Kryo-EM von HvV190S-Virionen
        Gattung Victorivirus (32 Spezies)
        • Spezies Victorivirus go mit Coniothyrium minitans RNA virus (CmRV)
        • Spezies Victorivirus hachi mit Epichloe festucae virus 1 (EfV)
        • Spezies Victorivirus ichi (ehem. Typus) mit Helminthosporium victoriae virus 190S (HvV190S)
        • Spezies Victorivirus jyu mit Magnaporthe oryzae virus 2 (MoV2)
        • Spezies Victorivirus jyugo mit Rosellinia necatrix victorivirus 1 (RnVV1)
        • Spezies Victorivirus jyuichi mit Tolypocladium cylindrosporum virus 1 (TcV1)
        • Spezies Victorivirus jyuni mit Aspergillus foetidus slow virus (AfSV1)
        • Spezies Victorivirus jyuroku mit Beauveria bassiana victorivirus (BbV1)
        • Spezies Victorivirus kyu mit Magnaporthe oryzae virus 1 (MoV1)
        • Spezies Victorivirus ni mit Chalara elegans RNA Virus 1 (CeRV1)
        • Spezies Victorivirus roku mit Helicobasidium mompa totivirus 1-17 (HmTV)
        • Spezies Victorivirus sani mit Sphaeropsis sapinea RNA virus 1 (SsRV1)
        • Spezies Victorivirus shi mit Sphaeropsis sapinea RNA virus 2 (SsRV2)
        • Spezies Victorivirus shichi mit Gremmeniella abietina RNA virus L1 (GaRVL1)
        • Spezies …
    • Familie Quadriviridae
      • Gattung Quadrivirus (3 Spezies)
    • Familie Spiciviridae
      • Gattung Spicivirus (13 Spezies)

  • Unterordnung Betatotivirineae
    • Familie Artiviridae
      • Gattung Artivirus (9 Spezies)
    • Familie Giardiaviridae
      • Gattung Giardiavirus (1 Spezies)
        • Spezies Giardiavirus ichi (ehem. Typus) mit Giardia lamblia virus (GLV)
    • Familie Inseviridae
      • Gattung Insevirus (16 Spezies)
    • Familie Lebotiviridae
      • Gattung Lebotivirus (8 Spezies)
    • Familie Megatotiviridae
      • Gattung Megatotivirus (2 Spezies)
    • Familie Ootiviridae
      • Gattung Ootivirus (7 Spezies)
    • Familie Pistolviridae
      • Gattung Pistolvirus (4 Spezies)
    • Familie Yadonushiviridae
      • Gattung Yadonushivirus (1 Spezies)

  • Unterordnung Gammatotivirineae
    • Familie Alternaviridae
      • Gattung Alternavirus (5 Spezies)

Äußere Systematik

Koonin et al hatten bereits en 2015 die damalige Familie Totiviridae taxonomisch (aufgrund ihrer Verwandtschaft) einer von ihnen postulierten Supergruppe‚„Picornavirus-like superfamily“ zugeordnet.[7] Die Mitglieder dieser vorgeschlagenen Supergruppe gehören verschiedenen Gruppen der Baltimore-Klassifikation an, in der Regel handelt es sich um einzelsträngige RNA-Viren positiver Polarität ((+)ssRNA, Baltimore-Gruppe 4), es sind aber auch – wie die Birnaviridae – doppelsträngige Vertreter (mit dsRNA gekennzeichnet, Baltimore-Gruppe 3) zu finden. Dieser Vorschlag ist inzwischen abgelöst durch die Master species List #35 des ICTV vom März 2020[1] Eine Gegenüberstellung der Kladogramme findet sich bei Picornavirales §ICTV Master Species List #35.

Commons: Totiviridae – Sammlung von Bildern, Videos und Audiodateien

Einzelnachweise

  1. a b c d e ICTV: ICTV Master Species List 2019.v1, New MSL including all taxa updates since the 2018b release, March 2020 (MSL #35).
  2. ICTV Master Species List 2018b v1 MSL #34, Feb. 2019.
  3. a b c d D. M. Knipe, Peter M. Howley, D. E. Griffin (Hrsg.): Fields Virology. 5. Auflage, Lippincott Williams & Wilkins, Philadelphia 2007, ISBN 978-0-7817-6060-7.
  4. a b c d e M. A. Hartley, C. Ronet, H. Zangger, S. M. Beverley, N. Fasel: Leishmania RNA virus: when the host pays the toll. In: Frontiers in cellular and infection microbiology. Band 2, 2012, S. 99, ISSN 2235-2988. doi:10.3389/fcimb.2012.00099. PMID 22919688. PMC 3417650 (freier Volltext).
  5. ICTV: Taxonomy Browser.
  6. ICTV: Virus Metadata Resource (VMR).
  7. Eugene V. Koonin, Valerian V. Dolja, Mart Krupovic: Origins and evolution of viruses of eukaryotes: The ultimate modularity. In: Virology, Band 479–480, Mai 2015; S. 2–25; doi:10.1016/j.virol.2015.02.039, PMID 25771806, PMC 5898234 (freier Volltext), Epub 12. März 2015 (englisch).