Aconoidasida
| Aconoidasida | ||||||||||||
|---|---|---|---|---|---|---|---|---|---|---|---|---|
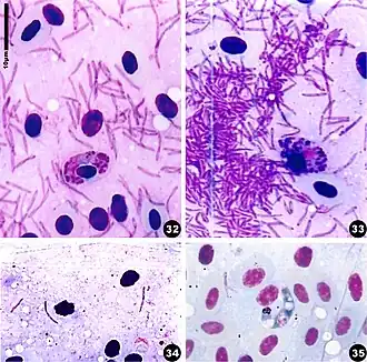
Entwicklungsstadien von Haemoproteus syrnii – 32: Sporozoiten, freigesetzt aus einer Oozyste und ein Gametozyt – 33: Aufplatzende Oozyste, Sporozoiten noch am Zytomer, und Gametozyt 34: Zwei reife Sporozoiten 35: Ookineten | ||||||||||||
| Systematik | ||||||||||||
| ||||||||||||
| Wissenschaftlicher Name | ||||||||||||
| Aconoidasida | ||||||||||||
| Mehlhorn, Peters & Haberkorn, 1980 |
Aconoidasida ist ein Untertaxon der Apicomplexa.
Beschreibung
Von den übrigen Apicomplexa unterscheiden sich Aconoidasida dadurch, dass das Konoid in der Regel nur im Stadium der Ookinete (der Zygote), nicht jedoch in den übrigen Entwicklungsstadien ausgebildet ist. Manche diploide Ookineten weichen allerdings davon ab und bilden Konoide aus. Makrogameten und Mikrogameten werden unabhängig voneinander gebildet. Aconoidasida bilden keine Zysten.[1]
Lebensweise
Aconoidasida sind Blutparasiten, die zur Vollendung ihres Lebenszyklus zwei Wirte passieren müssen,[1] zuerst ein Wirbeltier als Zwischenwirt und dann einen Gliederfüßer als Endwirt. Da sie keine Zysten bilden, können sie ihre Wirte nur in feuchten Milieus wechseln (z. B. in Speichel).[2]
Taxonomie und Systematik
Das Taxon wurde 1980 von Heinz Mehlhorn, Werner Peters und Axel Haberkorn erstbeschrieben, ein Synonym ist Haematozoea, Vivier 1982.[1] Im Namen spiegelt sich das Fehlen eines Konoids.[3]
Die Aconoidasida werden in folgende Gruppen und Gattungen weiter unterteilt:[1]
- Haemospororida, Danilewsky 1885 [Haemosporida[4] oder Hematozoa[5][4]]
- Dionisia
- Haemocystidium
- Haemoproteus
- Hepatocystis
- Leucocytozoon
- Mesnilium
- Nycteria
- Parahaemoproteus
- Plasmodium
- Polychromophilus
- Rayella
- Saurocytozoon
- Piroplasmorida Wenyon 1926 [Piroplasmida[4]]
- Anthemosoma
- Babesia
- Cytauxzoon
- Echinozoon
- Haemohormidium
- Sauroplasma
- Serpentoplasma
- Theileria
- Nephromycida Cavalier-Smith 1993, emend. Adl et al. 2019
- Nephromyces
- Cardiosporidium
Einzelnachweise
- ↑ a b c d Sina M. Adl, David Bass, Christopher E. Lane, Julius Lukeš, Conrad L. Schoch, Alexey Smirnov, Sabine Agatha, Cedric Berney, Matthew W. Brown, Fabien Burki, Paco Cárdenas, Ivan Čepička, Lyudmila Chistyakova, Javier del Campo, Micah Dunthorn, Bente Edvardsen, Yana Eglit, Laure Guillou, Vladimír Hampl, Aaron A. Heiss, Mona Hoppenrath, Timothy Y. James, Anna Karnkowska, Sergey Karpov, Eunsoo Kim, Martin Kolisko, Alexander Kudryavtsev, Daniel J. G. Lahr, Enrique Lara, Line le Gall, Denis H. Lynn, David G. Mann, Ramon Massana, Edward A. D. Mitchell, Christine Morrow, Jong Soo Park, Jan W. Pawlowski, Martha J. Powell, Daniel J. Richter, Sonja Rueckert, Laura Shadwick, Satoshi Shimano, Frederick W. Spiegel, Guifré Torruella, Noha Youssef, Vasily Zlatogursky, Qianqian Zhang: Revisions to the Classification, Nomenclature, and Diversity of Eukaryotes. In: The Journal of Eukaryotic Microbiology. Band 66, Nr. 1, 26. September 2018, doi:10.1111/jeu.12691, ISSN 1550-7408, ISSN 1066-5234, S. 4–119 (englisch; PDF-Datei, 828,83 KiB, in der Wiley Online Library von John Wiley & Sons, Inc.).
- ↑ Klaus Hausmann, Norbert Hülsmann, Renate Radek: Protistology, 3. Aufl., Schweizerbart, 2003, S. 96, ISBN 3-510-65208-8 (englisch).
- ↑ Isabelle Desportes, Joseph Schrével: Treatise on Zoology - Anatomy, Taxonomy, Biology. The Gregarines (2 vols): The Early Branching Apicomplexa. BRILL, 2013, ISBN 978-90-04-25605-7, S. 7
- ↑ a b c
Anthony M. Bonacolta, Joana Krause-Massaguer, Nico J. Smit, Paul C. Sikkel, Javier del Campo: A new and widespread group of fish apicomplexan parasites. In: Current Biology, Band 34, Nr. 12, 17. Juni 2024, S. 2748-2755.e3; doi:10.1016/j.cub.2024.04.084, Epub 30. Mai 2024 (englisch). Siehe insbes. Fig. 1B. Dazu:
- François Libert et al.: La reconstrucción del genoma revela un parásito antes 'invisible' en peces de todo el mundo (Genom-Rekonstruktion enthüllt bisher „unsichtbaren“ Parasiten in Fischen auf der ganzen Welt). Auf: Vista al Mar (vistaalmar.es) vom 18. Juni 2024 (spanisch).
- Parasito Peces. Graphical Abstract der Studie auf Vista al Mar (vistaalmar.es) in hoher Auflösung.
- ↑ Patrick J. Keeling, Varsha Mathur, Waldan K Kwong: Corallicolids: The elusive coral-infecting apicomplexans. In: PLOS Pathogens, Band 17, Nr. 9, September 2021, S. e1009845; doi:10.1371/journal.ppat.1009845, ResearchGate:354646179 (englisch).
